Die funktionelle und neuromodulative Neurochirurgie widmet sich der gezielten Behandlung neurologischer Erkrankungen, bei denen eine Fehlsteuerung oder Dysfunktion von Nervenstrukturen vorliegt. Zu den häufigsten Behandlungsverfahren zählen die Tiefe Hirnstimulation zur Therapie von Bewegungsstörungen wie Parkinson oder Dystonie, die Behandlung schwerer Epilepsieformen oder von chronischen Schmerzsyndromen. Durch den Einsatz von speziellen Neuroimplantaten, Läsionsverfahren oder nicht-invasiven Stimulationsverfahren soll gezielt in gestörte Regelkreise des Gehirns, Rückenmarks oder peripherer Nerven eingegriffen werden, um Symptome zu lindern und die Lebensqualität betroffener Patienten zu verbessern. Unser Ziel ist es hierbei, durch individuell angepasste Therapien und modernste Medizintechnik das Wohl unserer Patienten zu verbessern, da wir der Überzeugung sind, dass neurologische Ausfälle oder Beschwerden nicht immer ein hinzunehmendes Schicksal sein müssen.
Funktionelle und neuromodulative Neurochirurgie
Spezialsprechstunde für Funktionelle und neuromodulative Neurochirurgie
Die funktionelle und neuromodulative Neurochirurgie stellt einen wichtigen Baustein der Behandlung neurologischer Erkrankungen wie dem Parkinsonsyndrom, chronischen Schmerzen und der Epilepsie dar. Wir bieten in unserer Spezialsprechstunde eine umfassende Beratung und individuelle Therapieplanung hierzu und klären, ob Behandlungen wie die Tiefe Hirnstimulation, für Sie in Frage kommen.
Unser Team nimmt sich Zeit für eine ausführliche Diagnostik und Aufklärung. Vereinbaren Sie gerne einen Termin, um sich individuell beraten zu lassen. Wir sind für Sie da!
Kontakt
Sprechstunde |
Mittwoch: 9.00 - 13.00 Uhr |
Übersicht der Sprechstunden
Termine |
vereinbaren Sie über die Allgemeinambulanz. Bitte nutzen Sie dazu unser Kontaktformular. |
Zum Kontaktformular
Therapieoptionen
Behandlungsmethoden und Krankheitsbilder
In der funktionellen Neurochirurgie kommen invasive und nicht-invasive Behandlungsmethoden zur Behandlung neurologischer Erkrankungen zur Anwendung.
Die funktionelle und neuromodulative Neurochiurgie bietet zahlreiche Methoden zur Behandlung neurologischer Erkrankungen:
Tiefe Hirnstimulation
Bei der Tiefen Hirnstimulation (engl. Deep Brain Stimulation, DBS) werden feine Elektroden gezielt in bestimmte Hirnregionen eingesetzt. Durch einen Impulsgeber und elektrische Impulse über die Elektrode können überaktive oder fehlgesteuerte Nervenzellen moduliert werden, um Symptome wie beispielsweise ein Zittern oder Muskelsteifigkeit zu lindern. Die Tiefe Hirnstimulation wird hierbei zur Behandlung von Bewegungsstörungen wie Morbus Parkinson oder Essentiellem Tremor sowie auch bei schwer behandelbaren Epilepsien eingesetzt.
Die Implantation der Elektroden erfolgt hierbei mittels rahmen-basierter, rahmen-loser und roboter-assistierter Verfahren.
Mehr Informationen zum Einsatz von Robotik in unserer Klinik (hier in Kürze abrufbar)


Motorcortex-Stimulation
Die Motorcortex-Stimulation ist ein neurochirurgisches Verfahren zur Behandlung therapieresistenter chronischer Schmerzen. Dabei wird eine Elektrode auf den sog. motorischen Cortex des Gehirns aufgelegt und elektrische Impulse an den motorischen Kortex des Gehirns abgegeben, um das Schmerzempfinden zu reduzieren. Diese Therapie kann beispielsweise bei Gesichtsschmerzen oder Phantomschmerzen eingesetzt werden, bei welchen andere Behandlungen nicht angesprochen haben. Die Möglichkeit einer Motorcortexstimulation muss jedoch stets individuell evaluiert werden.
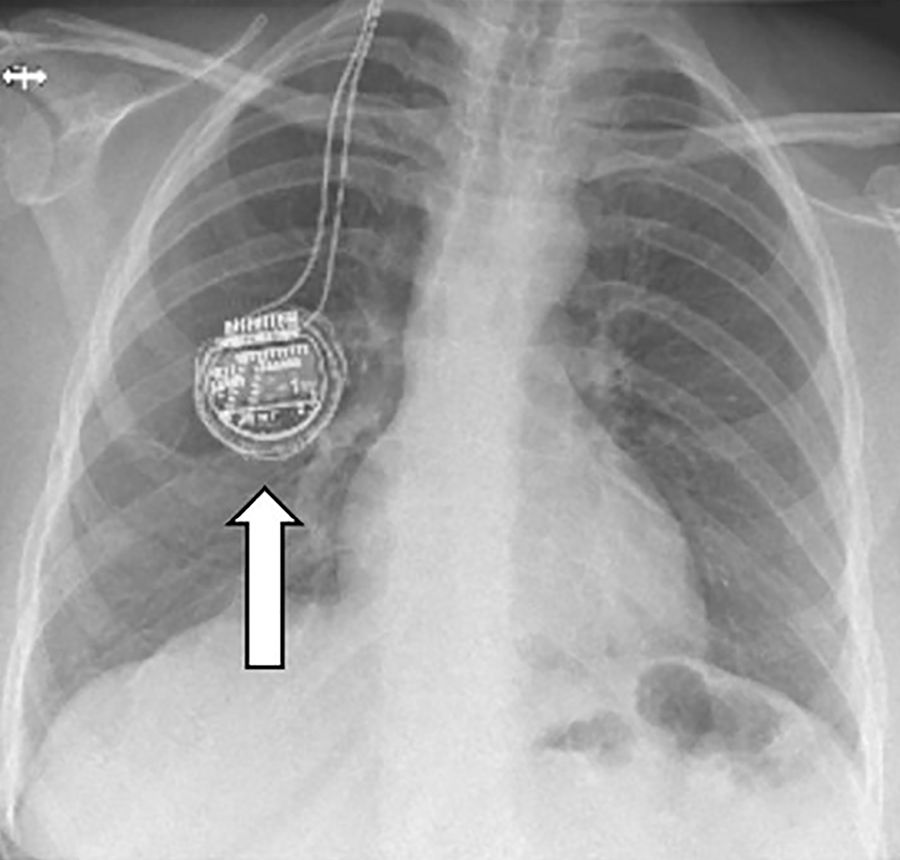
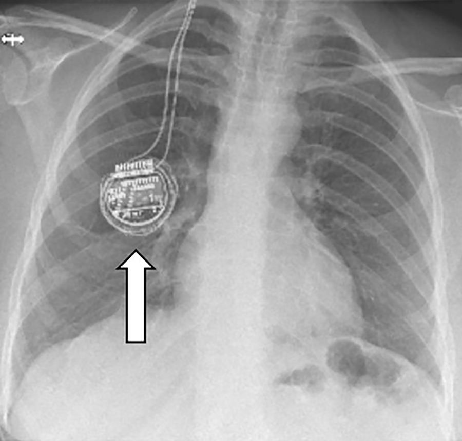
Rückenmarks-Stimulation und Periphere Nervenstimulation
Vagusnervstimulation
Die Vagusnervstimulation ist ein neuromodulatives Verfahren, das zur Behandlung von therapieresistenter Epilepsie eingesetzt wird. Dabei wird ein kleiner Impulsgenerator unter der Haut im Brustbereich implantiert, der elektrische Signale über eine Elektrode an den linken Vagusnerv sendet.Durch die Stimulation kann die Häufigkeit von epileptischen Anfällen reduziert werden, wenn andere Behandlungsansätze nicht ausreichend wirksam sind.
Weitere Informationen zur Epilepsieabklärung und -behandlung in unserer KlinikLäsionsttherapie
Bei bestimmten Epilepsieformen können durch eine Läsionstherapie epileptische Herde oder überaktive Hirnareale gezielt mittels thermischer oder radiochirurgische Verfahren deaktiviert werden. Ziel ist es, die Anfallsfrequenz zu reduzieren oder eine vollständige Anfallsfreiheit zu erreichen.
Weitere Informationen zur Epilepsieabklärung und -behandlung in unserer Klinik
Nicht-invasive neuromodulative Therapieverfahren
Durch nicht-invasive neuromodulative Therapieverfahren soll die Aktivität bestimmter Hirnregionen so beeinflusst werden, dass die Symptome neurologischer und psychiatrischer Erkrankungen gelindert werden. Hierbei ist keine Operation notwendig. Zu diesen Verfahren gehören die Transkranielle elektrische Stimulation (tDCS, tACS), die periphere elektrische Stimulation, EEG-basiertes Neurofeedback sowie die repetetive Transkranielle Magnetstimulation (rTMS). Bei der rTMS Therapie werden beispielsweise magnetische Impulse auf bestimmte Areale des Gehirns abgegeben. Die Therapie ist schmerzfrei und wird in mehreren Sitzungen (z. B. täglich 30 Minuten über 2 Wochen) durchgeführt. Das Stimulationsziel (z.B. der Motorcortex) wird je nach Krankheitsbild individuell ausgewählt.

Forschung
Forschung
Das Hauptziel unserer Forschung im Bereich der funktionellen und neuromodulativen Neurochirurgie ist die Weiterentwicklung von Verfahren zum Funktionserhalt und der Funktionswiederherstellung.
Zertifikate und Verbände

Focus: Top Nationales Krankenhaus 2025

Stern: Deutschlands Ausgezeichnete Arbeitgeber Pflege 24/25

Qualitätspartnerschaft mit der PKV

Erfolgsfaktor Familie

Die Altersvorsorge für den Öffentlichen Dienst