Die Arbeitsgruppe Soziale Neurowissenschaft untersucht grundlegende Verhaltensmechanismen und neuronale Korrelate sozialer Kognition (unsere Fähigkeit, die Absichten und Emotionen anderer zu verstehen). Dabei interessieren wir uns insbesondere für die Wahrnehmung und Verarbeitung (also das Lesen) von Körper- und Gesichtssprache bei gesunden Menschen und bei Patienten mit psychiatrischen und somatischen Krankheitsbildern. Viele neuropsychiatrische Erkrankungen und Störungen wie etwa Schizophrenie, Autismus und Depression zeichnen sich durch komplexe Veränderungen sozial-kognitiver Fähigkeiten aus. Ein besonderes Augenmerk gilt hierbei den Geschlechtsunterschieden und kulturellen Nuancen sozialer Kognition. Darüber hinaus decken wir die quantitativen Zusammenhänge zwischen den neurobiologischen Vorgängen und Kognitions- sowie Verhaltensleistungen auf.
Soziale Neurowissenschaften in der Psychiatrie
Kontakt
Leitung
frontend.sr-only_#{element.icon}: Prof. Dr. Marina A. Pavlova
frontend.sr-only_#{element.icon}: 07071 29-81419
E-Mail-Adresse: marina.pavlova@uni-tuebingen.de
Mehr zur Person
Bei der Erforschung dieser Fragestellungen verfolgen wir einen interdisziplinären Ansatz durch die Kombination neurokognitiver Methoden, Verhaltensstudien (unter Zuhilfenahme visueller Psychophysik, neuropsychologischer und psychometrischer Testung) sowie modernen multimodalen funktionellen und strukturellen Bildgebungsverfahren der zugrundeliegenden anatomisch-funktionellen Netzwerke (z.B. Magnetenzephalografie, MEG, und Magnetresonanztomografie, MRT/Kernspin, einschl. Ultrahochfeld-MRT bei 9,4 Tesla).
Die Ergebnisse dieser Arbeit dürften zur Klärung von Ursachen, Verlauf und Behandlungsmöglichkeiten vieler schwerwiegenden neuropsychiatrischen Erkrankungen beitragen, aber auch einem besseren Verständnis sozialer Kognition bei gesunden Menschen dienen.
Unsere Forschungsarbeit ist durch bedeutende nationale und internationale Förderer wie die DFG, den DAAD, die Else Kröner‑Fresenius‑Stiftung, die HFSPO und das Erasmus-Programm der EU unterstützt und wird breit durch die Medien abgedeckt.
Aktuelle Projekte
Aktuelle Forschungsfelder und -Projekte (Auswahl)
- Soziales Gehirn im Autismus: Emotionserkennung durch Körperbewegung (DFG-Projekt)
- Gesichtssensitivität bei Schizophrenie: zugrunderliegende Gehirnnetzwerke (DFG-Projekt)
- Soziale Kognition bei Depression: Das neue Face-n-Food Paradigma (IZKF-Tandemprojekt Pavlova-Kubon)
- Soziale Kognition bei Brustkrebs-Patientinnen (Hector-Stiftung, zusammen mit Prof. Dr. med. E. Simoes, Frauenklinik)
Highlights
Lesen von Körpersprache
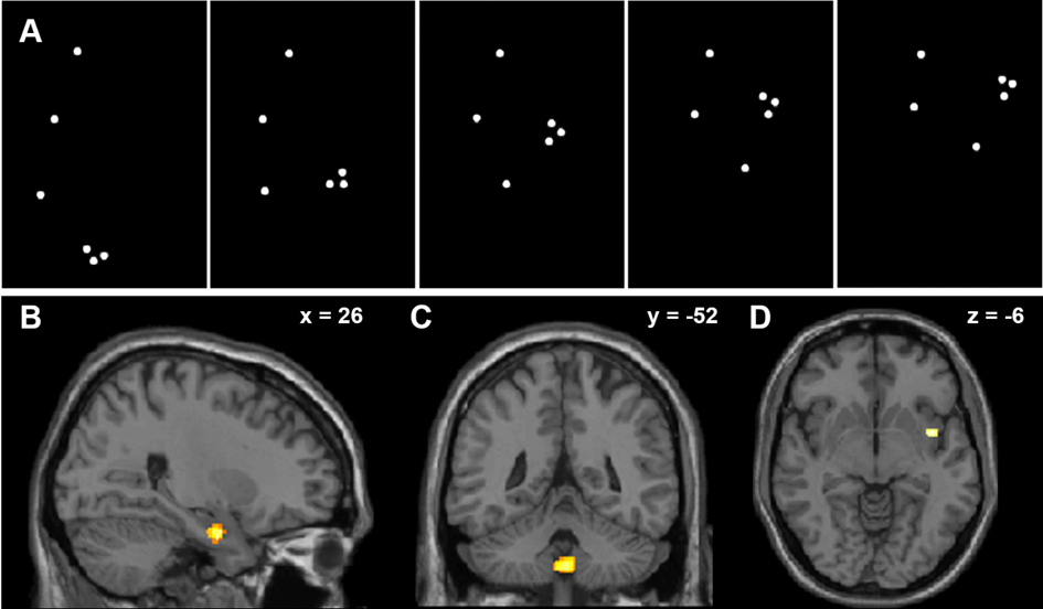
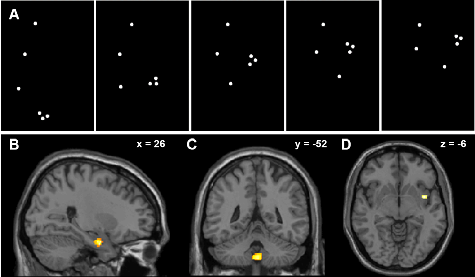
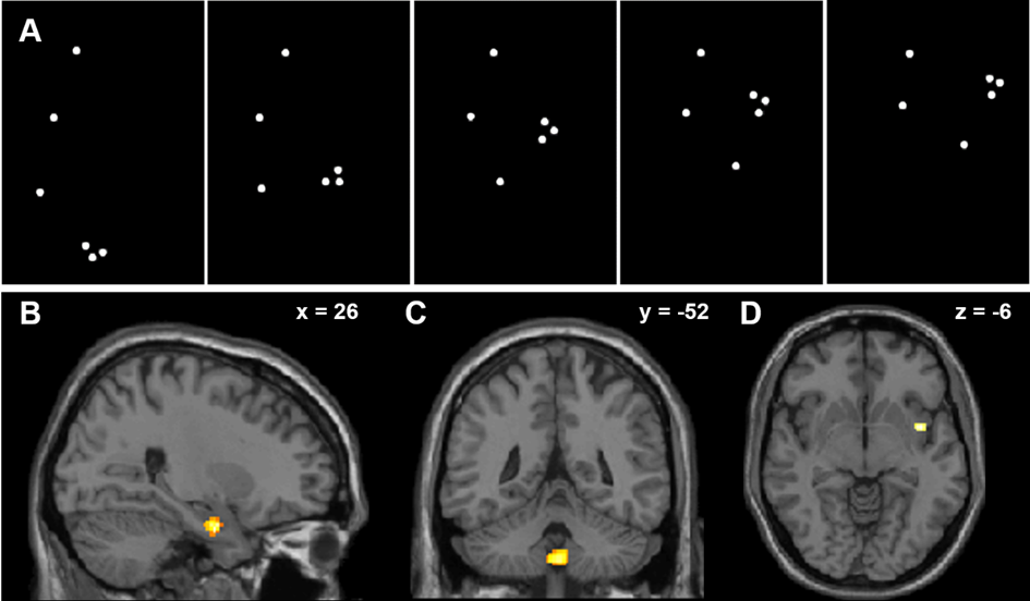
Quelle: Sokolov AA, Zeidman P, Erb M, Pollick FE, Fallgatter AJ, Ryvlin P, Friston KJ, Pavlova MA. (2020). Brain circuits signaling the absence of emotion in body language. Proc Natl Acad Sci U S A. 117(34):20868-73.

Neutrales und emotionales Punktlichtklopfen löst unterschiedliche Gehirnreaktionen aus. (A) Fünf Bilder veranschaulichen das Klopfen als eine Reihe von hellen Punkten auf einem dunklen Hintergrund. Die Punkte wurden auf dem Kopf, der rechten Schulter, dem Ellbogen, dem Handgelenk sowie dem ersten und vierten Mittelhandgelenk einer unsichtbaren, nach rechts gedrehten Person platziert. (B-D) Im Vergleich zu emotionalem Klopfen aktiviert neutrales Klopfen (B) die rechte Amygdala (x = 26; y = 4; z = -26, Koordinaten des Montreal Neurological Institute, MNI) und (C) die Mittellinie der Kleinhirn-Uvula (x = 0; y = -52; z = -46). (D) Die rechte Insula (x = 44; y = 4; z = -6) zeigt im Vergleich zu neutralen Klopfreizen eine höhere Aktivierung für emotionale Stimuli. Die Aktivierung wird auf die MNI T1-Vorlage überlagert. Die Schnittpositionen im MNI-Raum sind in der rechten oberen Ecke jedes Panels angegeben. Aus Sokolov et al. (2020). Proc Natl Acad Sci U S A. 117(34):20868-73.

Die visuelle Verarbeitung neutraler Körperbewegung führt zu einer negativen (hemmenden; gestrichelte Pfeile) effektiven Konnektivität von der Amygdala (AMY) und der Kleinhirn-Uvula (CB) zur Insula (INS) und zu einer positiven (antreibenden, durchgezogene Pfeile) effektiven Konnektivität von der AMY zu CB. Die Trefferquote für neutrales Klopfen korreliert invers mit Änderungen der Konnektivität von AMY zu INS. Es gibt keine signifikante Korrelation zwischen der Trefferquote und Änderungen der Konnektivität von AMY zu CB oder von CB zu INS. Aus Sokolov et al. (2020). Proc Natl Acad Sci U S A. 117(34):20868-73.
Wie schließen wir auf das Fehlen von Emotionen in der Körpersprache? Im Gegensatz zur Erkennung emotionaler Signale ist die Frage, wie neutrale Körpersprache als solche erkannt wird, in den Neurowissenschaften noch kaum beantwortet. Allerdings ist sie von großer Relevanz für die Forschung im Bereich psychischer und neurologischer Erkrankungen, bei denen neutrale Signale als emotional fehlinterpretiert werden (wie etwa Autismus, Depression, Demenz oder Schizophrenie). Die funktionelle Kernspintomografie (fMRT) und das sog. Dynamische Kausale Modellieren (DCM) beleuchten den Zusammenhang neuronaler Kommunikation zwischen Amygdala und Insula mit unserer Fähigkeit, das Fehlen von Emotionen zu erkennen. Die Kommunikation zwischen der rechten Amygdala und der Inselregion kann nämlich vorhersagen, ob ein neutraler Ausdruck durch Körperbewegungen (hier Handklopfen) richtig erkannt wird. Bisher wurde angenommen, dass diese Bestandteile des limbischen Systems ausschließlich zur Wahrnehmung von Emotionen beitragen. Weiterführende Studien könnten neue Verfahren zur Diagnostik und Behandlung nach sich ziehen.
Siehe auch: Pressemittteilungen von UKT, überregionalem Wochenblatt und Bioregio-Stern
Quelle: Sokolov AA, Zeidman P, Erb M, Ryvlin P, Friston KJ, Pavlova MA. (2018). Structural and effective brain connectivity underlying biological motion detection. Proc Natl Acad Sci U S A. 115(51):E12034-42.

Das Gehirnnetzwerk, das der visuellen Wahrnehmung getarnter Körperbewegung zugrunde liegt (A - F). Regionen mit erhöhter fMRT-Aktivierung während der Wahrnehmung von Körperbewegung liegen im bilateralen medialen Schläfenlappen (A), rechten oberen temporalen Sulcus STS (B), rechten Gyrus fusiformis (C), linken lateralen Kleinhirn‑Läppchen Crus I (LCB) (D), in der rechten vorderen Insula INS (E) sowie dem rechten unteren frontalen Gyrus IFG (F). (G) Übersicht über die 7 Netzwerkknoten (einschl. der visuellen Großhirnrinde, OCC), die bei der Erkennung getarnter Körperbewegung zusammenspielen. Diese Regionen wurden bei der probabilistischen Traktografie und dem sog. Dynamischen Kausalen Modellieren (DCM) verwendet. Aus Sokolov et al. (2018). Proc Natl Acad Sci U S A. 115(51):E12034-42.
Die visuelle Wahrnehmung von Körperbewegungen ist für soziale Kognition und unseren Alltag von großer Bedeutung. Ein innovativer und integrativer Ansatz bei der Analyse der Gehirnkonnektivität beleuchtet nun den Aufbau und die Funktionsprinzipien des zugrundeliegenden Großhirn-Kleinhirn‑Netzwerks: Anstelle einer hierarchischen Organisation zeigt sich das Netzwerk eher parallel aufgebaut. Dies könnte erklären, warum bei fokalen Hirnschäden das Lesen von Körpersprache weitgehend intakt bleibt, während es bei neuropsychiatrischen Erkrankungen mit verteilten Netzwerkstörungen oft stark betroffen ist. Zudem lässt sich visuelle Sensitivität gegenüber Körperbewegung durch ein spezifisches Top-Down-Feedback zur visuellen Großhirnrinde sowie durch funktionelle Kommunikation (sog. effektive Konnektivität) und das Vorhandensein von Fasern der weißen Substanz zwischen dem fusiformen Gyrus und Sulcus temporalis (einem Schlüsselzentrum des sozialen Gehirns) am besten vorhersagen. Die Ergebnisse fördern damit ein besseres Verständnis des sozialen Gehirns.
Quelle: Pavlova MA, Erb M, Hagberg GE, Loureiro J, Sokolov AN, Scheffler K. (2017). "Wrong Way Up": Temporal and spatial dynamics of the networks for body motion processing at 9.4 T. Cereb Cortex. 27(11):5318-30.

Überblick über breit verteilte Gehirnnetzwerke, die sich an der visuellen Wahrnehmung von Körperbewegung beteiligen. Gehirnregionen, die eine stärkere Aktivierung durch (A) aufrechte gegenüber invertierter Körperbewegung in der linken (links) und rechten (rechts) Gehirnhälfte zeigen und Regionen, in denen eine stärkere Aktivierung durch (B) invertierte gegenüber aufrechter Körperbewegung in der linken (links) und rechten (rechts) Hemisphäre beobachtet werden kann. Die Farbcodierung entspricht einer ähnlichen zeitlichen Dynamik der BOLD-Antwort von Regionen: Muster I, orange; Muster II, blau; Muster III, grün; weitere Muster außer I - III, weißer Kaffee. Große Kugeln stellen Regionen dar, die mindestens in 1 von 4 zeitlichen Intervallen Unterschiede zwischen aufrechter und invertierter Körperbewegung aufweisen. Kleine Kugeln stellen Regionen dar, in denen in keinem einzelnen Zeitfenster displayspezifische Effekte auftreten. Die Netzwerke für die leicht erkennbare aufrechte Körperbewegung sind hauptsächlich in hinteren Hirnbereichen angesiedelt. Aus Pavlova et al. (2017). Cereb Cortex. 27(11):5318-30; Copyright ©2017 The Authors, with permission.
Körperbewegungen (KB) liefern eine Fülle sozial‑relevanter Informationen und werden visuell mühelos wahrgenommen. Wird jedoch eine KB um 180 Grad gedreht (also invertiert), verhindert dies ihre Verarbeitung erheblich. Die aufrecht und gedreht gezeigten KB sind sich sehr ähnlich, wenn diese, wie üblich, lediglich durch einzelne Lichtpunkte an Körpergelenken dargestellt werden. Dabei bleiben die bei der Verarbeitung gedrehter KB involvierten Gehirnnetzwerke unbekannt. Die Ganzhirnanalyse und Bestimmung zeitlicher Aktivierungsdynamik mithilfe der funktionellen hochaufgelösten Ultrahochfeld-MRT bei 9,4 Tesla zeigen, dass invertierte KB die vorderen, an der Entscheidungsfindung und kognitiven Kontrolle beteiligten Netzwerke in der linken Hemisphäre aktivieren. Leicht erkennbare aufrechte KB aktivieren hingegen hauptsächlich die hinteren Gehirnbereiche. In der rechten Hemisphäre finden sich mehrere Netzwerke für aufrechte KB verglichen mit kaum vorhandenen Aktivierungen bei Inversion. Bei gedrehten KB, die nicht ständig als “wrong way up“ erkannt wurden (bei gleichem visuellem Input wie bei nicht‑erkennbarer gedrehter KB), findet sich ein großes Netzwerk in der rechten Hemisphäre. Die Ergebnisse zeigen erstmals (1) die (multi‑)funktionale Beteiligung einzelner Hirnregionen an den der Wahrnehmung von KB zugrunde liegenden Netzwerken sowie (2) größere Ensembles von Regionen, die mit unterschiedlicher zeitlicher Dynamik zusammenspielen. Bei invertierten KB sind die entsprechenden Netzwerke mit der perzeptiven Erkennbarkeit der Stimuli als KB assoziiert. Die Befunde geben wichtige Aufschlüsse über die an der Verarbeitung von KB beteiligten Hirnschaltkreise als wesentlicher Bestandteile des sozialen Gehirns.
Gesichtserkennung
Quelle: Rolf R, Sokolov AN, Rattay TW, Fallgatter AJ, Pavlova MA. (2020). Face pareidolia in schizophrenia. Schizophr Res. 218:138-45.

(vgl. Pavlova et al., 2015. Face-n-Food: Gender differences in tuning to faces. PLoS ONE 10(7): e0130363. doi:10.1371/journal.pone.0130363; Creative Commons Attribution [CC BY] license)
Face-n-Food Paradigma
Im Rahmen des Face-n-Food‑Paradigmas konnte gezeigt werden, dass jedes der verschiedenen untersuchten neuropsychiatrischen Krankheits- und Störungsbilder ein eigenes Erkennungsmuster aufweist, was für die klinische Arbeit von besonderer Bedeutung ist.

Gesichtsantwortraten für die einzelnen Face-n-Food‑Bilder (wie oben) bei Patienten mit Schizophrenie (violett) und Kontrollprobanden (grün). Die Bildnummer entspricht der Erkennbarkeit als Gesicht (1, kaum erkennbar, bis 10, am leichtesten als Gesicht erkennbar). Personen mit Schizophrenie geben signifikant weniger Gesichtsantworten als Kontrollpersonen. Aus Rolf et al. (2020). Schizophr Res. 218:138-45; Copyright ©2020 Elsevier, with permission.

Gesichtsantwortraten für die einzelnen Face-n-Food-Bilder (s. oben) in verschiedenen Patientengruppen: Autismus‑Spektrum‑Störung (ASS; Pavlova et al., 2017a), Williams Syndrom (WS; Pavlova et al., 2016a) und Down Syndrom (DS; Pavlova et al., 2018a). Aus Rolf et al. (2020). Schizophr Res. 218:138-45; Copyright ©2020 Elsevier, with permission.
Geschlechtsunterschiede bei sozialer Kognition
Quellen:
(a) Isernia S, Sokolov AN, Fallgatter AJ, Pavlova MA. (2020). Untangling the ties between social cognition and body motion: Gender impact. Front Psychol. 11: 128.
(b) Pavlova MA, Romagnano V, Fallgatter AJ, Sokolov AN. (2020). Face pareidolia in the brain: Impact of gender and orientation. PLoS ONE 15(12):e0244516.
(c) Kubon J, Sokolov AN, Popp R, Fallgatter AJ, Pavlova MA. (2020). Face tuning in depression. Cereb Cortex, online ahead of print. doi:10.1093/cercor/bhaa375
Bei der Mehrzahl psychiatrischer, neurologischer und psychosomatischer Erkrankungen liegen Geschlechtsunterschiede hinsichtlich der Prävalenz, des Schweregrad und der Symptomatik vor (Pavlova et al., 2015; Pavlova, 2012; 2017ab). Hier stellt sich die Frage, ob auch die Netzwerke für soziale Kognition und ihre potenziellen Interaktionen geschlechtsspezifische Charakteristika aufweisen und somit je nach Geschlecht für bestimmte neuropsychiatrische Erkrankungen oder deren Ausprägungen prädisponiert sind. Unser Ziel ist es, mögliche Unterschiede zwischen den Geschlechtern in den Gehirnnetzwerken für soziale Wahrnehmung und Kognition aufzudecken. Solche eventuell vorhandenen Unterschiede würden es uns erlauben, die Geschlechtsspezifität zahlreicher Erkrankungen im Kontext gestörter sozialer Kognition zu betrachten und somit innovative geschlechtergerechte Behandlungsoptionen zu erarbeiten.

Zusammenhänge der Emotions- bzw. Geschlechtserkennung durch Körperbewegung (BMG und BME) und der RMET-Leistung bei gesunden Frauen und Männern. Korrelationsmatrizen zu diesen Zusammenhängen nach Geschlechtern getrennt. Die signifikanten Pearson-Korrelationen sind farbkodiert in grün, die nicht-signifikanten in violett dargestellt. Aus Isernia et al. (2020). Front. Psychol. 11: 128; Creative Commons Attribution [CC BY] license.
Bei gesunden Erwachsenen ist der Zusammenhang zwischen der Fähigkeit, Körpersprache zu lesen und anderen sozialen Fähigkeiten (etwa RMET, “Reading the Mind in the Eyes“ Test, zu Deutsch “Gedanken in den Augen lesen“) geschlechtsspezifisch angelegt und als solcher ausgeprägter bei Frauen zu beobachten (Isernia et al., 2020).
Face-n-Thing Paradigma

(vgl. Pavlova et al., 2020. Face pareidolia in the brain: Impact of gender and orientation. PLoS ONE 15(12): e0244516. doi:10.1371/journal.pone.0244516; Creative Commons Attribution [CC BY] license).

Wirkung der Bildinversion auf visuelles Gesichtstuning nach Geschlechtern getrennt. Mittlere Gesichtsantwortraten (links) und Antwortzeiten (rechts) für die Face-n-Thing-Bilder (wie oben) bei der üblichen (aufrechten) und bei invertierter Bildausrichtung für Frauen (orangene Kreise) und Männer (violette Dreiecke). Die Doppelsternchen zeigen signifikante Unterschiede an: Geschlechtsunterschiede (schwarz, Bildausrichtungseffekt) bei Frauen (orange) und Männern (violett). Das Einzelsternchen zeigt eine Tendenz für kürzere Antwortzeiten für invertierte Bilder bei Frauen an. Aus Pavlova et al. (2020). PLoS ONE 15(12):e0244516; Creative Commons Attribution [CC BY] license.
Auch bei einem von uns neu entwickelten Face-n-Thing-Test (s. oben) ist die Gesichtserkennung bei gesunden Erwachsenen geschlechtsspezifisch: Während bei aufrechter Bildausrichtung keine Geschlechtsunterschiede feststellbar sind, lösen invertierte Face-n-Thing-Bilder bei Frauen einen Gesichtseindruck signifikant häufiger und tendenziell schneller aus als bei Männern (Pavlova et al., 2020).
Im Gegensatz dazu ist bei Patienten und Patientinnen mit Depression die anhand eines von uns neu entwickelten Face-n-Food-Tests beobachtete Gesichtssensitivität intakt und weist keine geschlechtsspezifischen Unterschiede auf (Kubon et al., 2020).

Gesichtsantwortraten für die einzelnen Face-n-Food-Bilder bei weiblichen und männlichen Patienten mit Depression (violett) und gesunden Kontrollprobanden (grün) nach Geschlecht (links, Frauen; rechts, Männer). Die Bildnummer entspricht der Erkennbarkeit als Gesicht (1, kaum erkennbar, bis 10, am leichtesten als Gesicht erkennbar). Aus Kubon et al. (2020). Cereb Cortex, online ahead of print; Copyright ©2020 The Authors, with permission.
Quelle: Pavlova MA, Weber S, Simoes E, Sokolov AN. (2014). Gender stereotype susceptibility. PLoS ONE 9(12): e114802.

Anfälligkeit für Geschlechterstereotypen nach Geschlecht und Art der Stereotypmitteilung. Ergebnisse des sog. Event-Arrangement-Tests (EA/Bilderordnen-Test mit bildbasierten Geschichten, die aus comicartigen Sätzen von Einzelkärtchen bestehen und in die richtigen Reihenfolgen gelegt werden sollen) für weibliche, orangefarbige Kreise, und männliche, schwarze Dreiecke, Teilnehmer*innen mit unterschiedlichen Informationen vor dem Test: S, nur Standardanweisung zum Test, geschlechtsneutrale Mitteilung; P_M, positiv für Männer, “Männer sind bei dieser Aufgabe normalerweise besser“ – eine explizit positive Geschlechterstereotypmitteilung für Männer (Daten aus Pavlova et al., 2010); P_F, positiv für Frauen: “Frauen sind bei dieser Aufgabe normalerweise besser“ – eine explizit positive Stereotypmitteilung für Frauen (Daten aus Pavlova et al., 2010); N_M, negativ für Männer, “Männer sind bei dieser Aufgabe normalerweise schlechter“ – eine explizit negative Stereotypmitteilung für Männer, und N_F, negativ für Frauen: “Frauen sind bei dieser Aufgabe normalerweise schlechter“ – eine explizit negative Stereotypmitteilung für Frauen. Aus Pavlova et al. (2014). PLoS One 9(12): e114802; Copyright©2014 Pavlova et al., Creative Commons Attribution [CC BY] license.
Die kognitiven Leistungen von gesunden Menschen können durch bestimmte (positive oder negative) Mitteilungen stark beeinflusst werden. In unseren Untersuchungen (Pavlova et al., 2010b, 2014) vermindern negative klischeehaft verallgemeinernde (stereotype) Aussagen erheblich die Leistungsfähigkeit, wobei diese Wirkung bei Frauen stärker ausgeprägt ist. Bemerkenswerterweise ist die ungünstige Wirkung bei Frauen auch am stärksten, wenn die Aussagen lediglich indirekt (implizit) negativ sind (Abb. oben, P_M-Bedingung). Bei Männern hingegen lösen direkte, also explizit negative Aussagen am ehesten Leistungseinbußen aus (Abb. oben, N_M-Bedingung). Weibliche und männliche Teilnehmer*innen bearbeiteten dabei einen Teil des psychometrisch standardisierten und an die deutsche Bevölkerung angepassten Wechsler Intelligenztests für Erwachsene (WIE), den Bilderordnen-Test. Bei diesem Test handelt es sich um eine Reihe der Bildkartensätze, die jeweils eine Geschichte mit verschiedenen Personen und ihren Handlungen comicartig darstellen. Die Teilnehmer*innen erhalten die Aufgabe, innerhalb einer ausgewiesenen Zeit die Kärtchen in die richtige Reihenfolge zu bringen und die abgebildete Geschichte zu erhalten. Dafür sollten sie sowohl die Gedanken, Stimmungslagen und Handlungen beteiligter Personen als auch die gesamte Geschichte begreifen. Die Probandengruppen bekamen vor dem Test die unterschiedlichen Informationen in Form von negativen oder positiven klischeehaft verallgemeinernden Aussagen. Die Befunde stehen im Einklang mit der Theorie der Bedrohung durch klischeeähnliche verallgemeinernde Aussagen (stereotype threat). Dabei handelt es sich um die Angst davor, ein negatives Vorurteil über die eigene Populationsgruppe zu bestätigen. Die Ergebnisse unterstreichen die geschlechterspezifische Wirkmacht von Information auf kognitive Leistung und sozial-kognitive Fähigkeiten.
Siehe auch: exemplarisch Pressemitteilungen von Welt , Deutschlandfunk, Psychologie-Aktuell, und Gesund.at (Österreich)
Ausgewählte Publikationen
Ausgewählte Publikationen
-
2020
Kubon J, Sokolov AN, Popp R, Fallgatter AJ, Pavlova MA. (2020). Face tuning in depression. CEREBRAL CORTEX (feature article), online ahead of print.
-
Sokolov AA, Zeidman P, Erb M, Pollick FE, Fallgatter AJ, Ryvlin P, Friston KJ, Pavlova MA. (2020). Brain circuits signaling the absence of emotion in body language. PROCEEDINGS OF THE NATIONAL ACADEMY OF SCIENCES OF THE USA 117(34): 20868-73.
-
Isernia S, Sokolov AN, Fallgatter AJ, Pavlova MA. (2020). Untangling the ties between social cognition and body motion: Gender impact. FRONTIERS IN PSYCHOLOGY 11: 128.
-
Rolf R, Sokolov AN, Rattay TW, Fallgatter AJ, Pavlova MA. (2020). Face pareidolia in schizophrenia. SCHIZOPHRENIA RESEARCH 218:138-45.
-
2017
Pavlova MA, Erb M, Hagberg GE, Loureiro J, Sokolov AN, Scheffler K. (2017). ”Wrong way up”: Temporal and spatial dynamics of the networks for body motion processing at 9.4 T. CEREBRAL CORTEX 27: 5318-30.
Zertifikate und Verbände

Focus: Top Nationales Krankenhaus 2025

Stern: Deutschlands Ausgezeichnete Arbeitgeber Pflege 24/25

Qualitätspartnerschaft mit der PKV

Erfolgsfaktor Familie

Die Altersvorsorge für den Öffentlichen Dienst