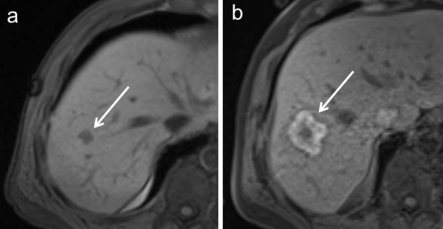
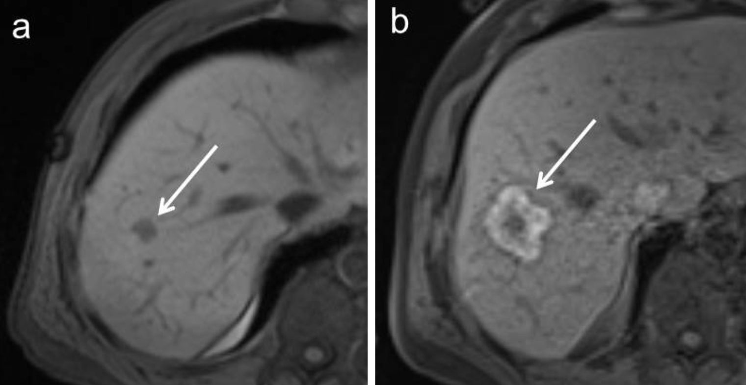
Das Institut für Diagnostische und Interventionelle Radiologie der Uniklinik Tübingen ist eines von wenigen Einrichtungen weltweit, an dem Thermoablationen von Leber- und Nierentumoren unter MRT-Steuerung durchgeführt werden. Die MRT als Bildgebungsmodalität bietet einige interessante Vorteile für perkutane Thermoablationen wie zum Beispiel eine zuverlässige Beurteilung des Therapieeffektes (siehe Abbildung 1), eine freie Wahl der Bildgebungsebene, eine genaue Darstellung auch kleinster Tumore und zeitlich hoch aufgelöste Sequenzen zur sicheren (und strahlungsfreien) Positionierung von Thermoapplikatoren. Das Ziel der Arbeitsgruppe „Interventionelle MRT“ ist die Erforschung der Möglichkeiten MRT-gesteuerter Eingriffe sowie die Untersuchung und Weiterentwicklung neuer Techniken.
Interventionelle Magnetresonanz-Tomographie

Kontakt
Arbeitsgruppenleiter:
frontend.sr-only_#{element.icon}: Prof. Dr. med. Rüdiger Hoffmann
Mehr zur Person
Weitere Mitglieder
- PD Dr. med. Moritz Winkelmann
- Dr. med. Jens Kübler
- Dr. med. Antonia Ashkar

Besondere Forschungsschwerpunkte der Arbeitsgruppe sind:
- Untersuchung und Vergleich von unterschiedlichen Ablationstechniken
- Untersuchung der MRT Bildgebung zur Therapiebeurteilung
- Nutzen von KI ("künstlicher Intelligenz") bei MRT-gesteuerten Eingriffen
- Untersuchung und Optimierung MRT-kompatibler Mikrowellen-Ablationssysteme
- Kontrastmittel-freie interventionelle MRT
Ausgewählte Publikationen
-
2019
Feasibility, efficacy, and safety of percutaneous MR-guided ablation of small (≤12 mm) hepatic malignancies.
Weiss J, Hoffmann R, Rempp H, Keβler DE, Pereira PL, Nikolaou K, Clasen S. J Magn Reson Imaging. 2019
-
2017
Diagnostic accuracy of different magnetic Resonance imaging sequences for detecting local tumor progression after radiofrequency ablation of hepatic malignancies.
Weiss J, Rempp H, Clasen S, Notohamiprodjo M, Keßler DE, Pereira PL, Blumenstock G, Nikolaou K, Hoffmann R. Eur J Radiol. 2017
-
2017
MR-guided microwave ablation in hepatic tumours: initial results in clinical routine.
Hoffmann R, Rempp H, Keßler DE, Weiß J, Pereira PL, Nikolaou K, Clasen S. Eur Radiol. 2017
-
2016
In vitro artefact assessment of a new MR-compatible microwave antenna and a standard MR-compatible radiofrequency ablation electrode for tumour ablation.
Hoffmann R, Rempp H, Eibofner F, Keßler DE, Blumenstock G, Weiß J, Pereira PL, Nikolaou K, Clasen S. Eur Radiol. 2016
-
2015
Diffusion-weighted imaging during MR-guided radiofrequency ablation of hepatic malignancies: analysis of immediate pre- and post-ablative diffusion characteristics.
Hoffmann R, Rempp H, Schraml C, Schwenzer N, Grözinger G, Blumenstock G, Rothgang E, Pereira PL, Claussen CD, Clasen S. Acta Radiol. 2015.


Zertifikate und Verbände

Focus: Top Nationales Krankenhaus 2025

Stern: Deutschlands Ausgezeichnete Arbeitgeber Pflege 24/25

Qualitätspartnerschaft mit der PKV

Erfolgsfaktor Familie

Die Altersvorsorge für den Öffentlichen Dienst