Endovaskuläre Gefäßtherapien
Für die Behandlung der AVK (Arterielle Verschlusskrankheit; Schaufensterkrankheit) gibt es mehrere Methoden, die kombiniert, aber auch als alleinige Therapie angewandt werden können. Die Wahl des geeigneten Verfahrens ist abhängig vom Ausmaß der Beschwerden, vom Alter und dem allgemeinen Gesundheitszustand des Patienten, vom betroffenen Blutgefäß und vom Ausmaß der Veränderungen an den Blutgefäßen. Die Klinik für Diagnostische und Interventionelle Radiologie bietet dabei das komplette Spektrum an minimal-invasiven kathetergestützten Verfahren der modernen Gefäßmedizin zur Wiedereröffnung verengter oder verschlossener Blutgefäße an. Hierzu gehören der Einsatz von Ballons zur Aufweitung von Gefäßen sowie der Einsatz von Stents und Geräten zum Ausschälen von Plaques und Verkalkungen (Atherektomie).
Die Steuerung des Eingriffs läuft dabei unter Zuhilfenahme bildgebender Techniken wie z.B. Röntgendurchleuchtung und Angiographie, in Echtzeit. Mit den kathetergestützten Verfahren können sowohl Becken- und Beingefäße als auch Eingeweideschlagadern behandelt werden (z.B. die Nierenarterien oder die Mesenterialgefäße).
Die Behandlung und Behandlungsplanung erfolgt hier im Rahmen des interdisziplinären Gefäßzentrums Tübingen, in welchem alle Experten der Gefäßmedizin zusammenarbeiten, um die optimale Therapie für unsere Patienten vorzuhalten.
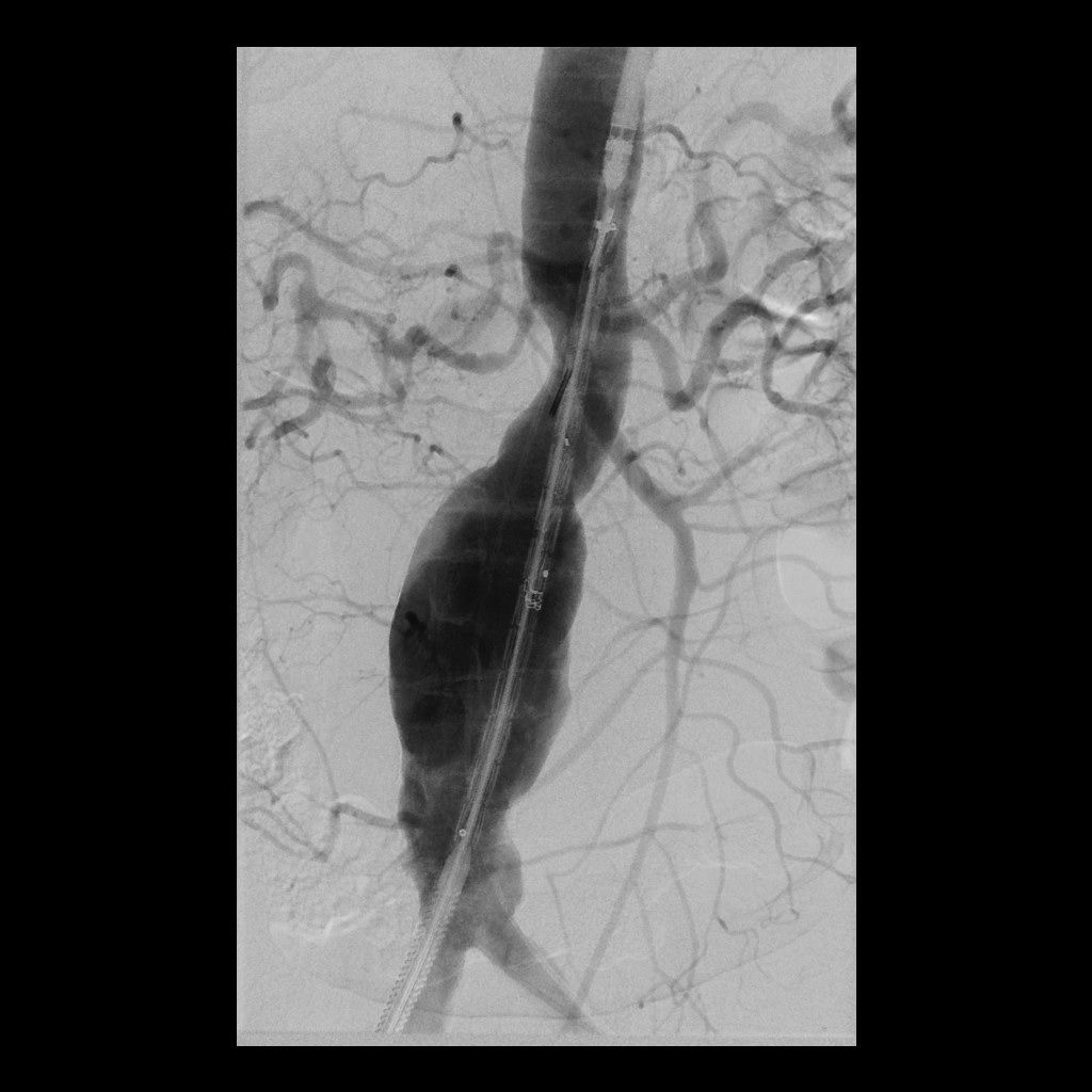
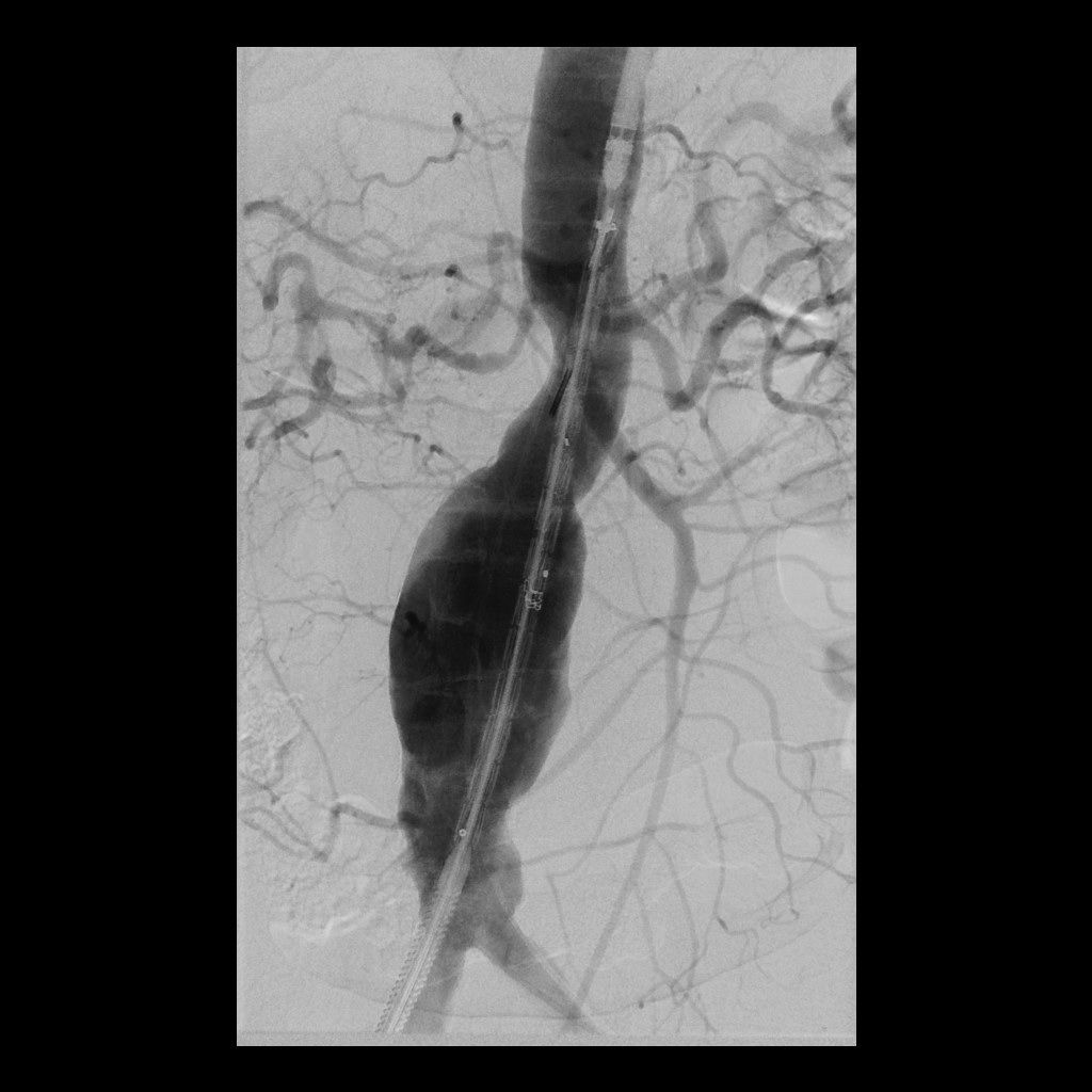
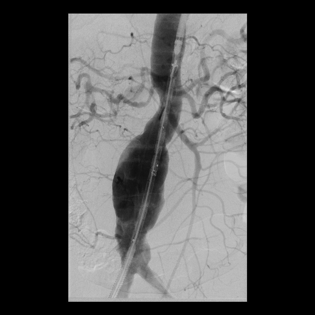
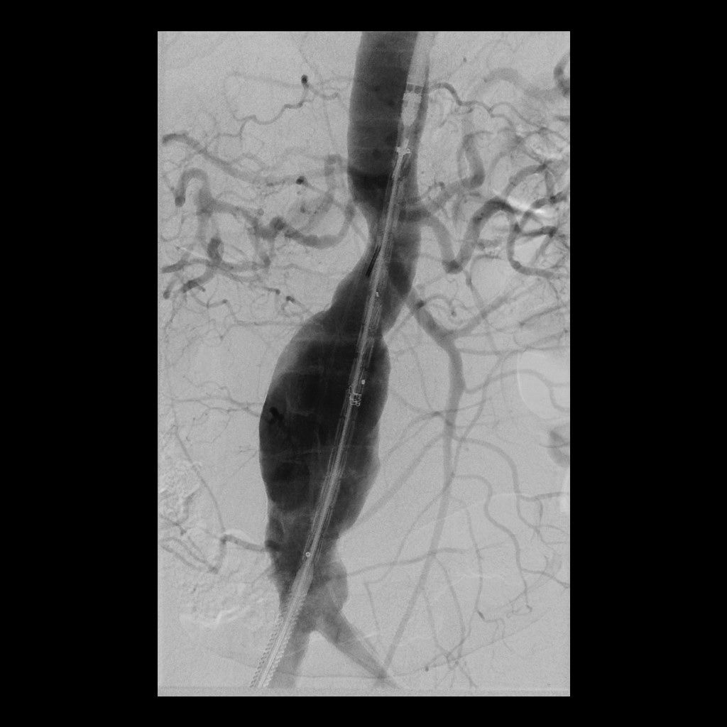
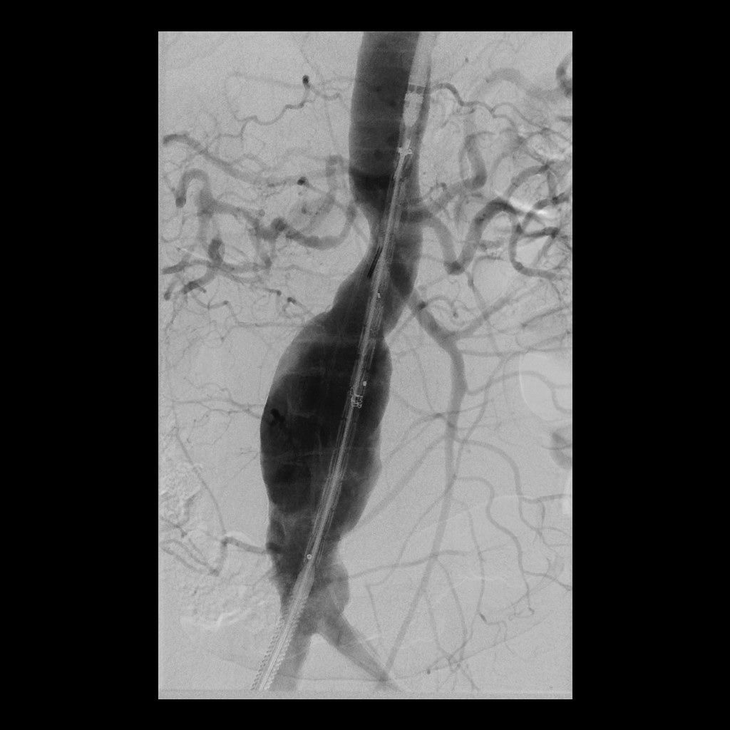
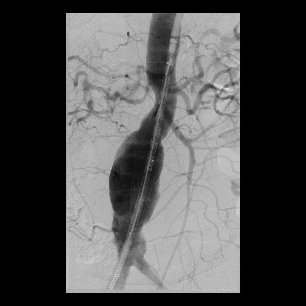
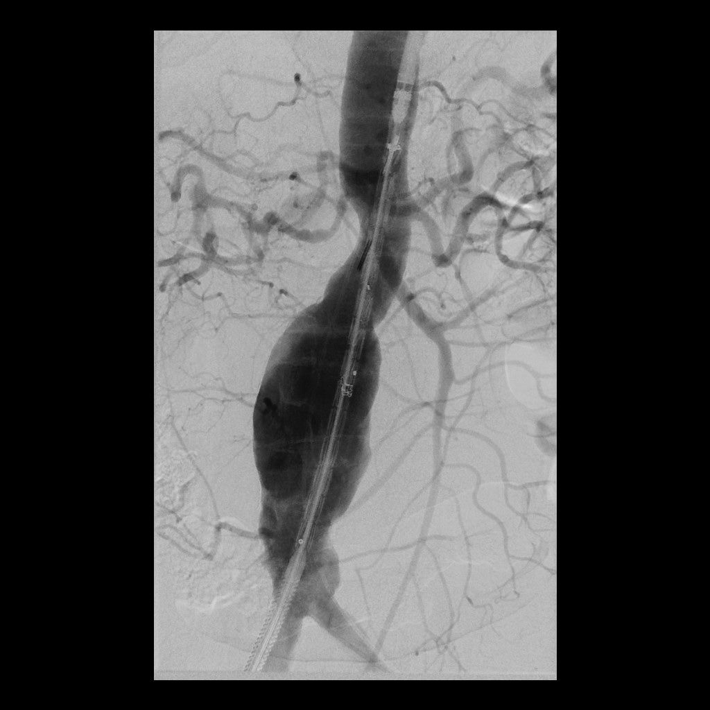
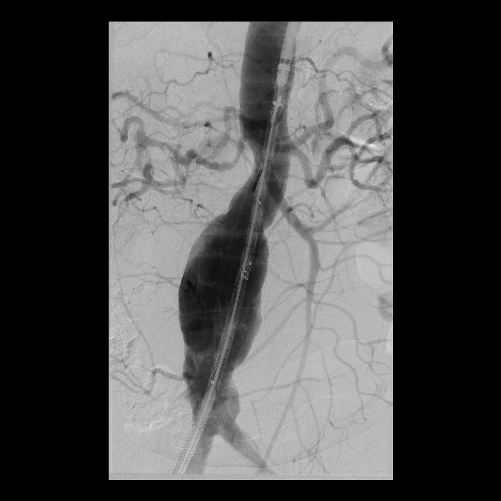
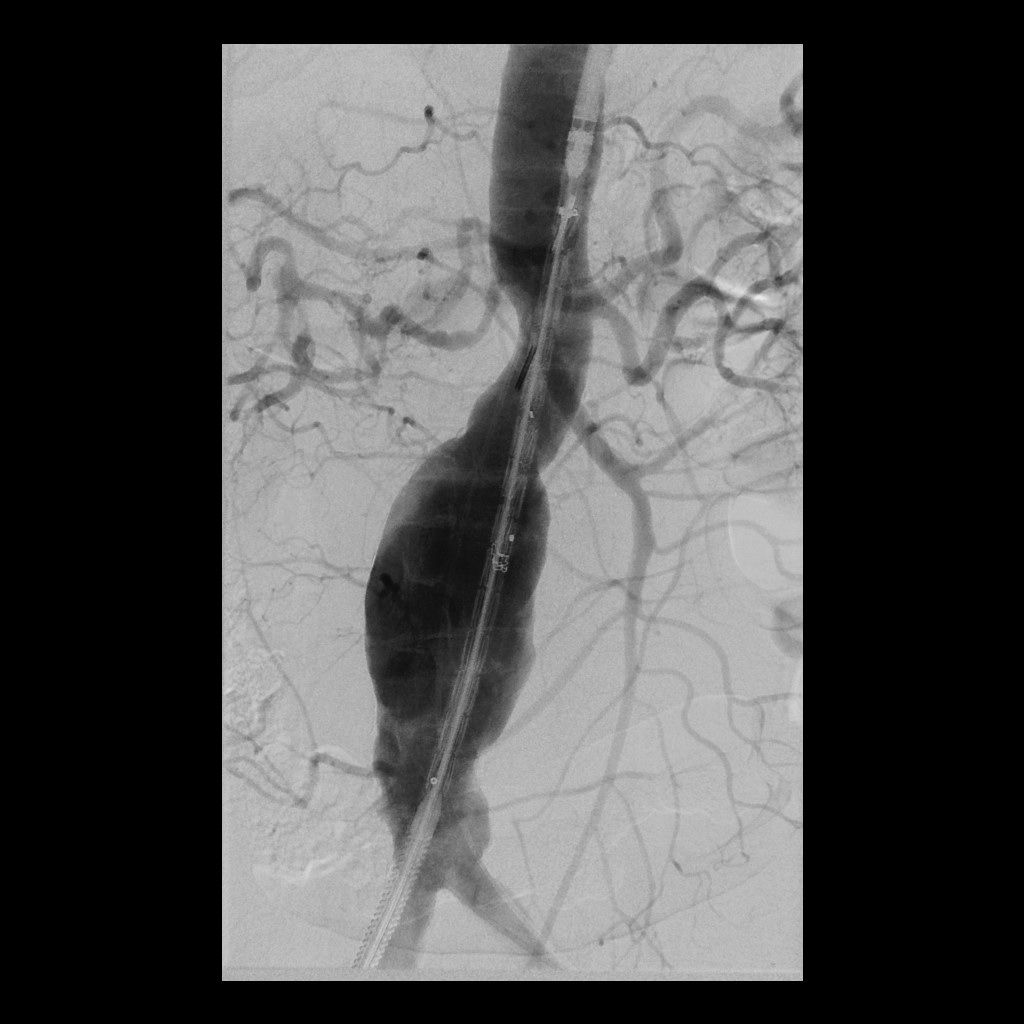
Bauchschlagadererweiterung (Aortenaneurysma)
Eine Erweiterung der Bauchschlagader kann das Risiko eines Gefäßeinrisses stark erhöhen (Aneurysma). Die Radiologie bietet hier zusammen mit den Kollegen der Gefäßchirurgie ein minimal-invasives Verfahren zur Ausschaltung des Aneurysmas an. Dies geschieht mittels Stent-Prothese (endovascular aortic repair; EVAR).
Zertifikate und Verbände

Focus: Top Nationales Krankenhaus 2025

Stern: Deutschlands Ausgezeichnete Arbeitgeber Pflege 24/25

Qualitätspartnerschaft mit der PKV

Erfolgsfaktor Familie

Die Altersvorsorge für den Öffentlichen Dienst