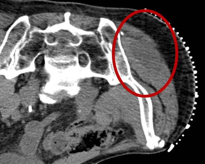
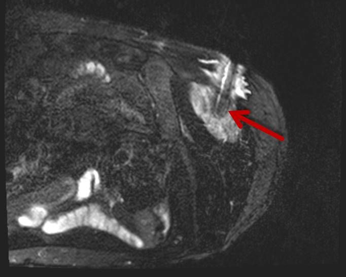
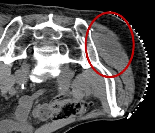
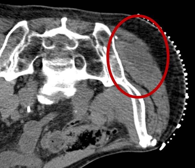
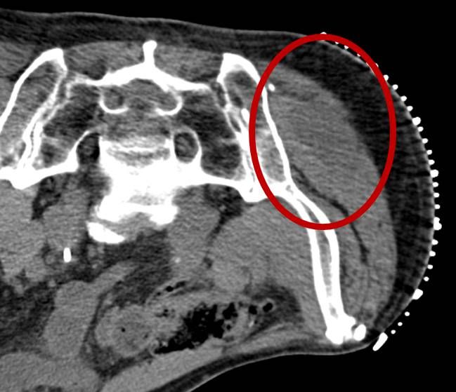
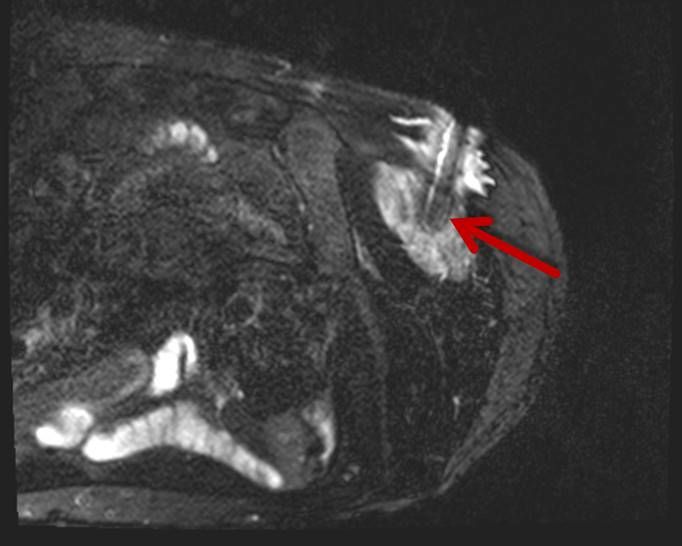
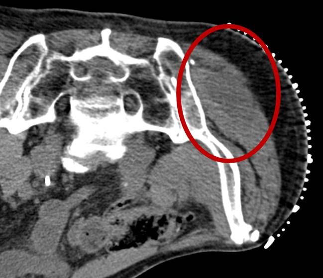
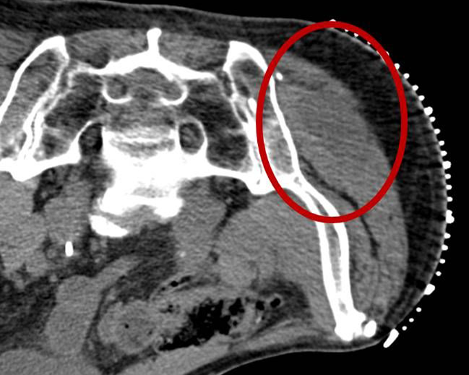
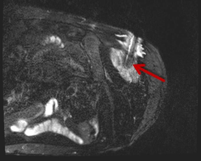
Eine Vielzahl von Krankheitsdiagnosen basiert auf der mikroskopischen bzw. histologischen Untersuchung körpereigener Gewebe, die auf möglichst schonende Weise entnommen und anschließend im Labor bzw. unter dem Mikroskop untersucht werden. Bei der perkutanen Biopsie punktiert der Arzt mit einer dünnen Nadel durch die Haut hindurch ('perkutan') das Zielorgan und entnimmt so eine kleine Menge Flüssigkeit oder ein kleines Gewebestück. Der Eingriff kann im Regelfall in örtlicher Betäubung durchgeführt werden. Um das Zielgewebe möglichst sicher zu treffen, führen wir die meisten Biopsien unter CT-Steuerung, alternativ unter sonographischer Steuerung, durch. Ist die Zielläsion nicht sicher im CT oder im Ultraschall zu erkennen, führen wir die Biopsie mit speziellen Biopsie-Systemen im Einzelfall auch unter MRT-Kontrolle durch.
Zertifikate und Verbände

Focus: Top Nationales Krankenhaus 2025

Stern: Deutschlands Ausgezeichnete Arbeitgeber Pflege 24/25

Qualitätspartnerschaft mit der PKV

Erfolgsfaktor Familie

Die Altersvorsorge für den Öffentlichen Dienst