Diese Spezialsprechstunde richtet sich an Patienten mit Okulären Tumoren. Schwerpunkte sind Patienten u.a. mit Tumoren der Regenbogenhaut, Netzhaut, Aderhaut und Bindehaut.
Sprechstunde für Okuläre Tumore

Schwerpunkte
- Tumore der Regenbogenhaut
- Tumore der Netzhaut
- Tumore der Aderhaut
- Tumore der Bindehaut
Kontakt
Sprechstundenzeit |
Dienstag, Mittwoch und Donnerstag Ebene 3 |
Terminvergabe |
07071 29-88666
Montag-Freitag: |
frontend.sr-only_#{element.icon}: Die Universitäts-Augenklinik ist aufgrund der hohen Anzahl an Anrufen telefonisch nur schwer zu erreichen. Bitte haben Sie für längere Wartezeiten Verständnis.
frontend.sr-only_#{element.icon}: 07071 29-4966
E-Mail-Adresse: augenklinik.tuebingen@med.uni-tuebingen.de
Online-Kontaktformular
Siehe auch
Informationen für Ambulante Patienten
Informationen zum Ablauf der Anmeldung und der Untersuchungen.
Mehr erfahrenAnreise und Parken
Anfahrtsbeschreibung und Hinweise zu den Parkmöglichkeiten und zur Barrierefreiheit im Gebäude.
Mehr erfahrenOkuläre Tumore - Erkrankungen und Therapieverfahren
Aderhautnävus
Der Aderhautnävus ist der häufigste Tumor des Augeninneren. Es handelt sich um einen angeborenen gutartigen Tumor. Aderhautnävi haben etwa 6% aller Menschen. Sie werden meist zufällig im Rahmen einer Augenhintergrunds-untersuchung bei weiter Pupille entdeckt. Normalerweise ist keine Behandlung erforderlich. Es besteht jedoch das Risiko einer bösartigen Umwandlung in ein malignes Aderhautmelanom bei 1 von 5000 bis 10000 Menschen. Deshalb sollten Aderhautnävi regelmäßig beobachtet werden. In der Regel wird aus diesem Grund ein Photo des Befundes angefertigt und bei prominenten Befunden eine Ultraschallvermessung durchgeführt, um ein eventuelles Wachstum der Läsion rechtzeitig zu erfassen.
Malignes Aderhautmelanom
Das Aderhautmelanom ist der häufigste primäre bösartige Tumor des Augeninneren im Erwachsenenalter. Es erkranken etwa 4-5 Menschen von einer Million Einwohnern im Jahr an einem Aderhautmelanom. Symptome treten erst dann auf, wenn die Sehachse durch den Tumor oder die begleitende Flüssigkeitsansammlung unter der Netzhaut beeinträchtigt wird. Dies ist bei peripher wachsenden oder im Strahlenkörper lokalisierten Tumoren erst im späteren Stadium der Fall. Ein Aderhautmelanom kann sich aus einem vorbestehenden Aderhautnävus (Abb. 2b) entwickeln. Menschen, die eine okuläre Melanozytose (Abb. 2c) haben, d.h. ein angeborenes vermehrtes Vorkommen von Pigmentzellen im Auge aufweisen, haben ein 30fach erhöhtes Risiko an einem Aderhautmelanom zu erkranken.

Je nach Größe und Lokalisation der Tumore stehen verschiedene Behandlungsverfahren zur Verfügung. Kleine Tumore können durch eine Hitzebehandlung mit einem Laser (Transpupillare Thermotherapie) behandelt werden. Mittelgroße Tumore können mit einem Strahlenträger, der von außen auf das Auge aufgenäht wird, therapiert werden. Große Tumore können über eine externe Bestrahlung erreicht werden. In einzelnen ausgewählten Fällen können die Tumore aus dem Auge herausoperiert werden. Bei sehr großen Tumoren, die zu Komplikationen im Auge geführt haben und bei nicht mehr sehendem Auge, kann die Entfernung des Auges manchmal unumgänglich sein.
Aderhautmetastasen
In der Aderhaut des Auges können Absiedlungen von Tumoren anderer Organe entstehen. Die Aderhautmetastase ist insgesamt der häufigste bösartige Tumor im Augeninneren. Beim Mann ist der häufigste zugrundeliegende Tumor das Lungenkarzinom, bei der Frau das Brustkarzinom. Es folgen Metastasen von Tumoren des Magen-Darm-Traktes, der Nieren oder von Karzinoiden. Die Metastasen im Augeninneren fallen dem Betroffenen erst bei Beeinträchtigung der Sehachse durch das Tumorgewebe oder die begleitende Flüssigkeitsansammlung unter der Netzhaut auf. Sie kommen in einem drittel der Fälle mehrfach in einem Auge vor und sind in einem drittel der Fälle in beiden Augen zu finden.
Aderhautmetastasen wachsen im Allgemeinen recht schnell, so dass sie auch einer zügigen Therapie zugeführt werden sollten. Die Behandlung erfolgt immer in Zusammenarbeit mit onkologisch und strahlentherapeutisch Betreuenden. Die Therapie des zugrundeliegenden Tumors kann eventuell schon zur Rückbildung der Aderhautmetastasen führen. Die fraktionierte externe Bestrahlung führt in den meisten Fällen zu einer guten Regression der Metastasen.
Kapilläres Hämangiom der Netzhaut
Kapilläre Hämangiome der Netzhaut können isoliert oder im Rahmen des sogenannten Hippel-Lindau-Syndroms auftreten. Bei den kapillären Hämangiomen handelt es sich um gutartige Gefäßtumore der Netzhautgefäße. Sie können an einem oder an beiden Augen auftreten, einzeln oder mehrfach in einem Auge vorkommen. Sie wachsen meist im 2.-3. Lebensjahrzehnt. Symptome werden durch die begleitenden sekundären Veränderungen durch die Tumore hervorgerufen. Die Gefäßtumore können zu fettigen Ablagerungen in der Netzhaut führen, Flüssigkeit in und unter die Netzhaut abgeben, was zu einer Netzhautschwellung (Makulaödem) oder Abhebung der Netzhaut führen kann. Es können auch Blutungen in die Netzhaut oder den Glaskörper auftreten.
Die Therapie der kapillären Hämangiome hängt vor allem von der Größe und Lage der Tumore im Auge ab. Kleine Tumore können mit dem Laser (Photokoagulation) zerstört werden. Etwas größere und peripher liegende Hämangiome können in örtlicher Betäubung vereist werden (Kryokoagulatinon). Sehr große Tumore können mit einem Strahlenträger (Ruthenium-Applikator) behandelt werden oder einer externen Bestrahlung zugeführt werden. Bei komplizierten Netzhautablösungen ist eventuell auch eine Plombenoperation oder eine Glaskörperentfernung (Vitrektomie, vitreoretinaler Eingriff) erforderlich. Patienten mit kapillären Hämangiomen der Netzhaut können eine reine Augenbeteiligung aufweisen oder die Netzhauttumore im Rahmen einer autosomal dominant erblichen Erkrankung entwickeln, bei der auch Tumore in anderen Organen auftreten können.
Es ist aus diesem Grund wichtig bei Patienten mit kapillären Hämangiomen das Vorliegen des sogenannten Hippel-Lindau-Syndroms abzuklären. Patienten mit dem Hippel-Lindau-Syndrom haben Mutationen im sogenannten Hippel-Lindau-Gen (VHL-Gen), welches auf Chromosom 3 liegt (3p25-26). Sie können Tumore in Augen, Zentralnervensystem (Hämangioblastome), Nieren (Nierenzellkarzinom), Nebennieren (Phämochromozytom), Bauchspeicheldrüse (Pankreaszysten), Paraganglien und Nebenhoden (Zystadenom) entwickeln. Hier ist die Zusammenarbeit mit neurologisch, internistisch und humangenetisch Behandelnden von entscheidender Bedeutung.
Astrozytom
Das Astrozytom ist ein seltener angeborener und gutartiger Tumor der Netzhaut. Astrozytome kommen selten isoliert vor, meist assoziert mit der tuberösen Sklerose oder der Neurofibromatose vor. Das Astrozytom wird meist zufällig entdeckt, da es normalerweise keine Sehstörungen hervorruft. Bei der Untersuchung des Augenhintergrunds sieht man meist einen gelblich-weißen Tumor, der oft Verkalkungen aufweist und eine maulbeerförmige oder fischlaichähnliche Oberfläche hat („Maulbeertumor“). In der Mehrzahl der Fälle treten Astrozytome der Netzhaut in Verbindung mit einer tuberösen Sklerose auf. Es handelt sich um ein autosomal dominant vererbtes Syndrom, welches zahlreiche Organsysteme betreffen kann.
Zu den Veränderungen, die hierbei zu sehen sein können, zählen Angiofibrome der Haut (Adenoma sebaceum), depigmentierte Hautstellen (white spots), verkalkte Astrozytome im Gehirn, Angiomyolipome der Nieren, Rhabdomyosarkome des Herzmuskels, Hamartome der Leber, Schilddrüse und Pankreas, sklerosierte Areale in Schädel- und Wirbelknochen, Zysten in Knochen von Fingern und Zehen. Die Astrozytome im Auge sind gutartige Tumore, die sich nicht bösartig umwandeln. Es ist normalerweise keine Therapie erforderlich.
Kongenitale Hypertrophie des retinalen Pigmentepithels (CHRPE) und assoziierte Befunde bei der CHRPE
Bei der CHRPE handelt es sich um eine angeborene gutartige Veränderung im Bereich des retinalen Pigmentepithels. Es ist ein häufiger Befund, der bei der Untersuchung des Augenhintergrunds bei weiter Pupille meist zufällig entdeckt wird, da die Veränderung keine Beschwerden verursacht. Die CHRPE ist meist eine ganz scharf begrenzte, tiefschwarze, rundliche und flache Veränderung, die sich nicht vergrößert. Manchmal sieht man depigmentierte Flecken innerhalb dieses Befundes. Die CHRPE kann einzeln vorkommen oder auch multipel in einem Auge auftreten, wobei dann häufig das Muster von Tierspuren entsteht („Bärentatzen“). Eine Behandlung ist nicht notwendig, da meistens weder eine Sehschärfenbeeinträchtigung noch ein malignes Transformationsrisiko besteht. Nur ganz selten ist die Entstehung eines Adenoms oder Adeno-Karzinoms des retinalen Pigmentepithels auf dem Boden einer CHRPE beschrieben.
Assoziierte Befunde bei der CHRPE
Bei multiplen solitären oder beidseitigen multifokalen Hypertrophien des retinalen Pigmentepithels muß man an die mögliche Assoziation der Augenveränderungen mit Erkrankungen denken, die zu Veränderungen außerhalb der Augen führen können. Hier ist die familiäre adenomatöse Polyposis coli (FAP) zu nennen, eine autosomal dominant vererbte Erkrankung mit einem Defekt im FAP-Gen auf Chromosom 5. Es entwickeln sich mutiple adenomatöse Polypen im Dickdarm und Enddarm. Die meisten der betroffenen Patienten entwickeln bis zum 50. Lebensjahr ein Darmkarzinom. Im Rahmen des Gardner-Syndroms entstehen neben der FAP Knochentumore und Weichteiltumore. Beim Turcot-Syndrom finden sich zusätzlich zur FAP Tumore des ZNS.
Aderhauthämangiom
Das Aderhauthämangiom ist ein seltener gutartiger Gefäßtumor im Auge, der umschrieben oder auch als diffuse Variante auftreten kann. Das umschriebene Aderhauthämangiom ist ein orangefarbener Tumor in der Aderhaut, der typischerweise am hinteren Pol temporal des Sehnervenkopfes lokalisiert ist. Es wird häufig zwischen dem 2. und 4. Lebensjahrzehnt diagnostiziert.
Transpupillare Thermotherapie (TTT)
Aderhautmelanome, die bis zu 3mm dick sind, können mit der sogenannten transpupillaren Thermotherapie behandelt werden. In örtlicher Betäubung wird hier mit einem Infrarot Diodenlaserlaser das Tumorgewebe bis auf 45-65C° erwärmt und über die Hitzeeinwirkung zerstört. In der Regel sind hier 2-3 Behandlungen erforderlich, bis der Tumor ausreichend behandelt ist.
Strahlenträger (Ruthenium-Applikator)
Tumore, die bis zu 5-6mm dick sind, können mit sogenannten Strahlenträgern behandelt werden. Hierbei wird Ruthenium als Strahlenquelle benutzt. Es handelt sich um ein Strahlenplättchen aus Silber, in dessen Inneren eine Schicht aus Ruthenium aufgetragen ist. Der Strahlenträger wird im Rahmen einer Operation in Vollnarkose nach Eröffnen der Bindehaut auf die Augapfeloberfläche direkt über dem Tumor auf die Lederhaut aufgenäht. Durch die dünne dem Augapfel zugewandte Silberschicht kann die Strahlung fast ungehindert hindurchdringen. Die dickere Silberschicht, die der Außenwelt zugewandt ist, schirmt die Strahlung nahezu komplett ab. Das Strahlenplättchen bleibt für einen genau berechneten Zeitraum auf dem Auge, bis die zur Zerstörung des Tumors notwendige Strahlendosis erreicht ist, und wird dann wieder entfernt.
Externe Bestrahlung (Protonentherapie)
Tumore, die über 6mm dick sind, können oft nur über eine Bestrahlung von außen behandelt werden. Dies geschieht z.B. am sogenannten Zyklotron, einem Bestrahlungsgerät, mit dem Protonen d.h. positiv geladene Kerne des Wasserstoffs erzeugt werden. Das Bestrahlungsfeld kann aufgrund der Eigenschaften der Protonenstrahlung optimal an die Form und Größe des Tumors angepasst werden, so dass möglichst wenig benachbartes Gewebe mitbestrahlt wird. Die Bestrahlung erfolgt in mehreren einzelnen Sitzungen. Die Protonentherapie ist bisher in Deutschland nur im Hahn-Meitner-Institut in Berlin möglich.
Augapfelentfernung (Enukleation)
Bei sehr großen Tumoren, die schon zu einem Sehverlust geführt haben oder Komplikationen im Auge ausgelöst haben, wie z.B. eine Tumorzellaussaat im Augeninneren oder eine Erhöhung des Augeninnendrucks, und keine andere augapfelerhaltende Behandlung möglich ist, muß das tumortragende Auge entfernt werden. Als Platzhalter wird in der Augenhöhle eine Kugel (Plombe) eingesetzt, an der die Augenmuskeln festgenäht werden, damit sich die Plombe und später die Augenprothese auch mitbewegen können. Über der Plombe wird die darübergelegene Bindegewebsschicht und die Oberflächenschleimhaut (Bindehaut) des Auges zugenäht, so dass eine Höhle ausgekleidet aus Bindehaut entsteht, in die die maßangefertigte Augenprothese eingesetzt wird. Das kosmetische Ergebnis ist heutzutage meist so gut, dass gar nicht auffällt, dass der Patient eine Augenprothese trägt.
Tumore der Bindehaut
Plattenepitheliale Tumore der Bindehaut
Die plattenepithelialen Tumore der Bindehaut umfassen eine große Bandbreite an Tumoren, die entweder auf das Oberflächenepithel beschränkt sind und dieses in unterschiedlichem Ausmaß einnehmen bis hin zum invasiven Plattenepithelkarzinom der Bindehaut. Normalerweise entstehen diese Tumoren in der Übergangszone von der peripheren Hornhaut zur Bindehaut (Limbus). Diese Tumore treten durchschnittlich mit einer Häufigkeit von etwa 0,08 bis 0,18 Erkrankungen pro 100000 Einwohnende im Jahr auf. Risikofaktoren für die Entstehung dieser Tumoren sind die UV-Strahlung, HIV und die humanen Papillomaviren (HPV).
Die plattenepithelialen Tumoren finden sich meistens nur an einem Auge. Die Läsionen entstehen häufig zunächst am Limbus zur Nase hin und können dann im Verlauf aber zirkulär den gesamten Limbus einnehmen. Mit zunehmender Größe fallen dann erweiterte zuführende Gefäße zum Tumor auf. Die Diagnosestellung erfolgt auch hier durch das typische klinische Bild und die feingewebliche Untersuchung. Standardbehandlung ist je nach Ausdehnung des Befundes die chirurgische Exzision mit Sicherheitsabstand und adjuvanter Vereisungsbehandlung (Kryotherapie). Auch die plattenepithelialen Tumore der Bindehaut neigen zu häufigen Rezidiven, so dass auch hier häufig Nachbehandlungen mittels topischer Chemotherapie erfolgen. Es kommen Mitomycin C oder Interferon alpha 2b zur Anwendung. Interferon alpha 2b kann auch als alleinige Behandlung oder zur Größenreduktion vor der Chirurgie verwendet werden.
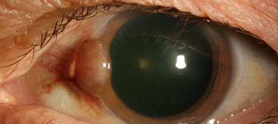
Bindehautmelanom
Das maligne Melanom der Bindehaut ist ein seltener, aber bösartiger Tumor der Augapfeloberfläche. Es tritt mit einer Häufigkeit von etwa 0,24 – 0,8 Erkrankungen pro Million Einwohnende auf. Ein Bindehautmelanom kann aus einem vorbestehenden Leberfleck der Bindehaut (Bindehautnävus) oder einer erworbenen Bindehautpigmentierung (primär erworbene Melanose der Bindehaut) entstehen. Es handelt sich um eine prominente, meist pigmentierte Verdickung der Bindehaut mit auffälligen zuführenden Gefäßen und oft auch umgebenden Bereichen mit pigmentierter Bindehaut. Die Diagnosestellung erfolgt durch das typische klinische Bild und die feingewebliche Untersuchung. Eine Metastasierung in die regionalen Lymphstationen aber auch über die Blutbahn ist möglich.
Standardbehandlung ist die chirurgische Exzision mit Sicherheitsabstand einschließlich adjuvanter Vereisungsbehandlung (Kryotherapie). Die Tumore neigen zu Rezidiven. Aus diesem Grund werden häufig Nachbehandlungen angeschlossen. Hierzu zählt die lokale Chemotherapie mit Mitomycin C oder Interferon alpha 2b oder auch die Bestrahlung.

Zertifikate und Verbände

Focus: Top Nationales Krankenhaus 2025

Stern: Deutschlands Ausgezeichnete Arbeitgeber Pflege 24/25

Qualitätspartnerschaft mit der PKV

Erfolgsfaktor Familie

Die Altersvorsorge für den Öffentlichen Dienst