Kathetergestützte Aortenklappenimplantation (TAVI)

Interventionelle Kardiologie

Kathetergestützte Aortenklappenimplantation (TAVI)

Die Aortenklappenstenose ist eine krankhafte Verengung der Aortenklappe, die im Alter > 70 Jahren die häufigste Herzklappenerkrankung darstellt. In höheren Lebensalter wird sie fast ausschließlich durch Verkalkungen an den Klappensegeln ausgelöst.

Beschwerden der hochgradigen Aortenstenose sind:

  • Belastungsabhängige Luftnot
  • Angina pectoris
  • Schwindel und Schwäche bei körperlicher Anstrengung
  • Plötzliche kurzdauernde Bewusstlosigkeit

     

      

    

Ansprechpartner

Prof. Dr. med. Oliver Borst

Bereichsleitung Herzkatheterlabor

E-Mail-Adresse: oliver.borst@med.uni-tuebingen.de

Prof. Dr. med. Tobias Geisler

E-Mail-Adresse: tobias.geisler@med.uni-tuebingen.de

Therapie

Eine wirksame Therapie ist ausschließlich über einen Aortenklappenersatz möglich. Lange Zeit war der chirurgische Eingriff die einzige Option. Seit mittlerweile über zehn Jahren gibt es nun die Katheter-gestützte Implantation einer biologischen Aortenklappenprothese (TAVI: Transcatheter Aortic Valve Implantation).

Welches Verfahren für den jeweiligen Patienten geeignet ist, entscheidet ein Gremium aus Kardiologen, Kardio-Chirurgen und Anästhesisten unter Zusammenschau aller Befunde.

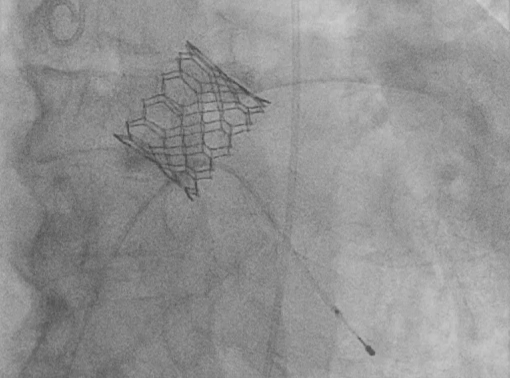
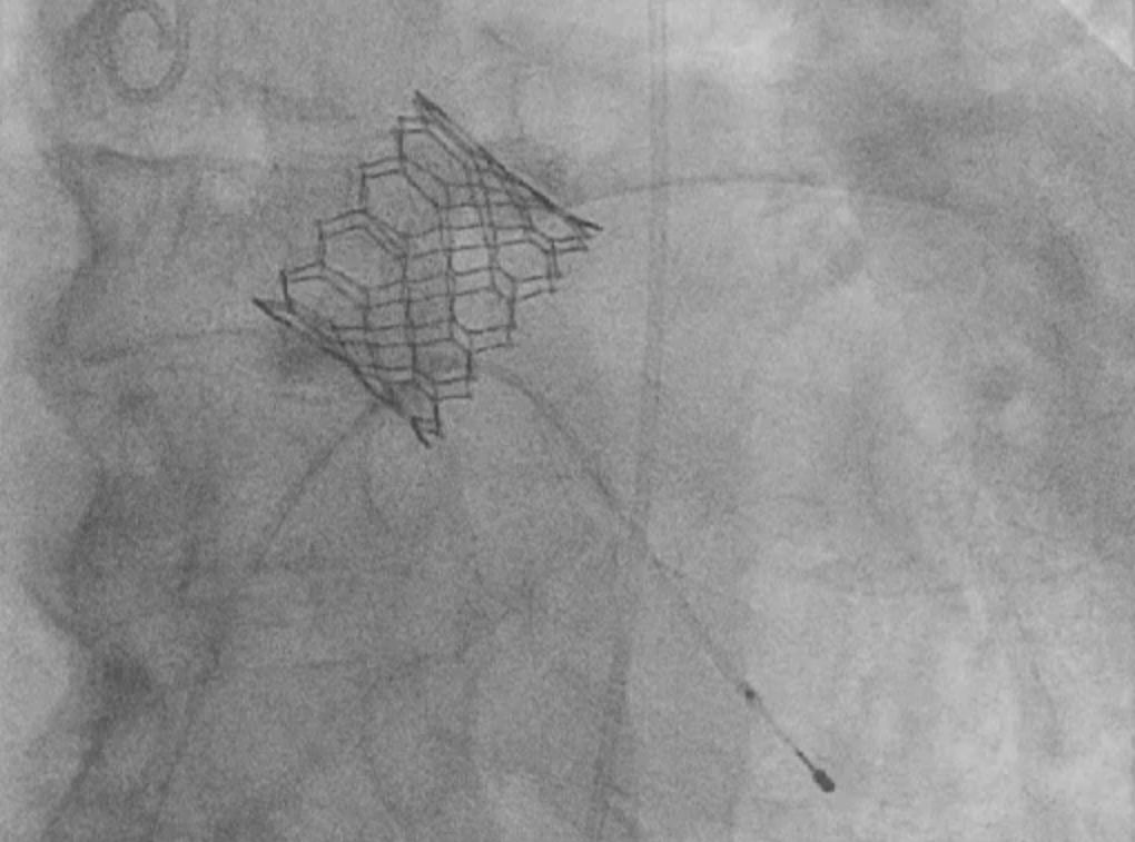
Bei dem Eingriff durch unser erfahrenes Klappenteam wird die neue Herzklappe rückwärts über die Leistenarterie entlang  der Hauptschlagader  mit einem Katheter in die Position der verkalkten Aortenklappe vorgebracht. Sobald sich die Klappenprothese in exakter Position befindet, wird sie implantiert. Der Eingriff erfolgt in Lokalanästhesie. 

Alternative minimalinvasive Zugänge (transaxillär und transapikal) sind gelegentlich bei ungeeigneter Anatomie notwendig.  

In unserer Kardiologie implantieren wir sowohl ballonexpandierende wie auch selbstexpandierende/re-platzierbare biologische Aortenklappenprothesen. 

Auch eine Aortenklappeninsuffizienz oder eine erneut degenerierte operativ eingebrachte biologische Klappenprothese können durch eine TAVI (als sogenannte Valve in Valve Prozedur) mit sehr guten Ergebnissen behandelt werden.

Zertifikate und Verbände

Springe zum Hauptteil