Kardiales Imaging

Die Abklärung kardialer Beschwerden und Krankheitsbilder hat in den letzten Jahren enorm durch die Erweiterung um radiologische Bildgebungsmethoden dazugewonnen.  

Die kardiale Magnetresonanztomographie (CMR) zeichnet sich durch eine exzellente nicht-invasive Gewebecharakterisierung des Herzmuskels aus. Darüber hinaus ist die CMR der Goldstandard für die Bestimmung von Volumina bzw. Funktion des Herzens und der Morphologie. Im Gegensatz zur Computertomographie (CT) werden bei der Magnetresonanztomographie die Bilder mit Hilfe eines starken Magnetfeldes erzeugt, so dass keine für den Patienten belastende Strahlung verwendet wird. Die Untersuchungen werden in Kooperation mit der Abteilung für Diagnostische und Interventionelle Radiologie am UKT durchgeführt.

Ansprechpartner

Prof. Dr. med. Simon Greulich

Bereichsleitung kardiales Imaging

E-Mail-Adresse: simon.greulich@med.uni-tuebingen.de

Häufige Fragestellungen an das CMR

  • Vitalitätsdiagnostik (Nachweis von vitalem Myokard bzw. Narben) bei eingeschränkter Pumpfunktion
  • „Stress-MRT“ zum Nachweis von Durchblutungsstörungen des Herzmuskels unter medikamentöser Belastung.
  • Abklärung einer Herzmuskelentzündung (Myokarditis)
  • Dilatative Kardiomyopathie
  • Hypertrophe Kardiomyopathie
  • Kardiale Amyloidose
  • Herzbeutelentzündungen/Perikarditis
  • Tumoren des Herzens
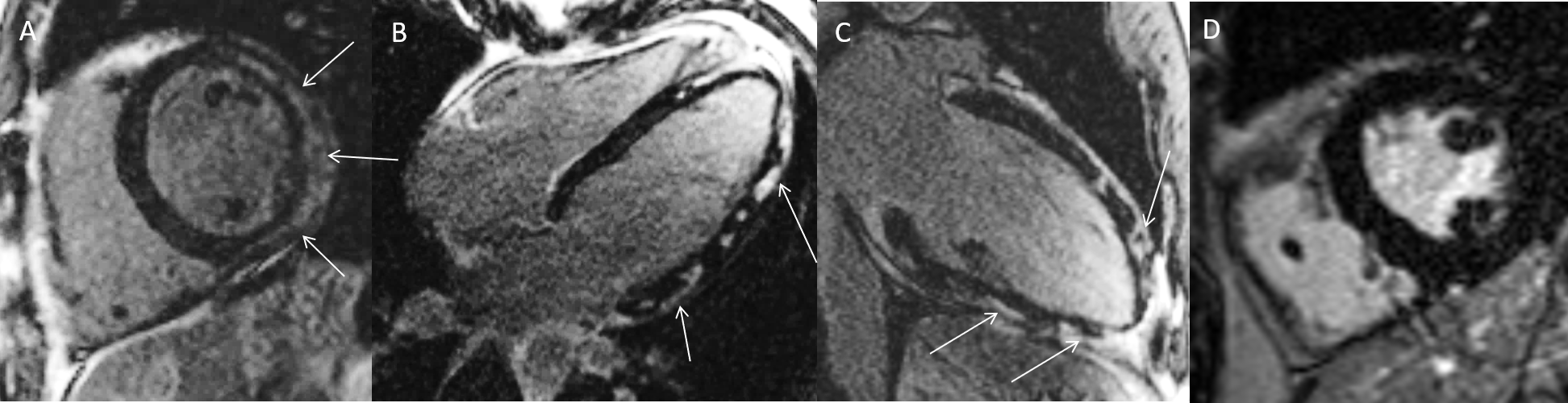
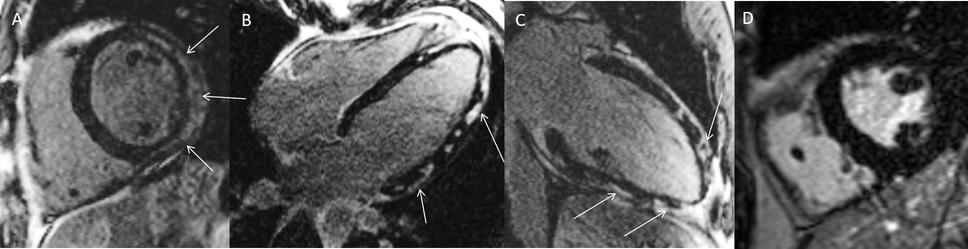
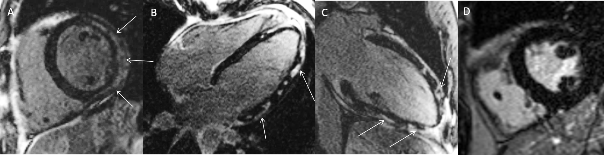
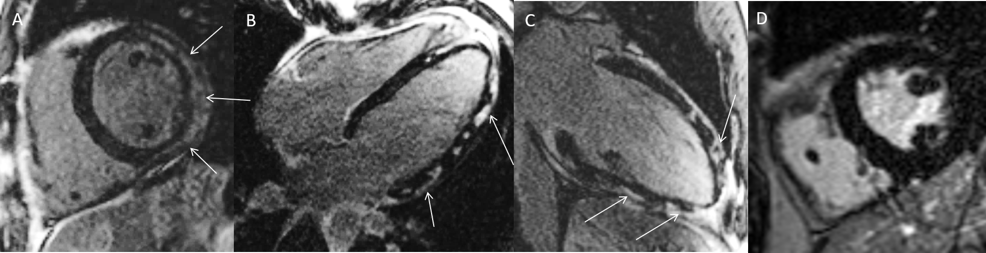
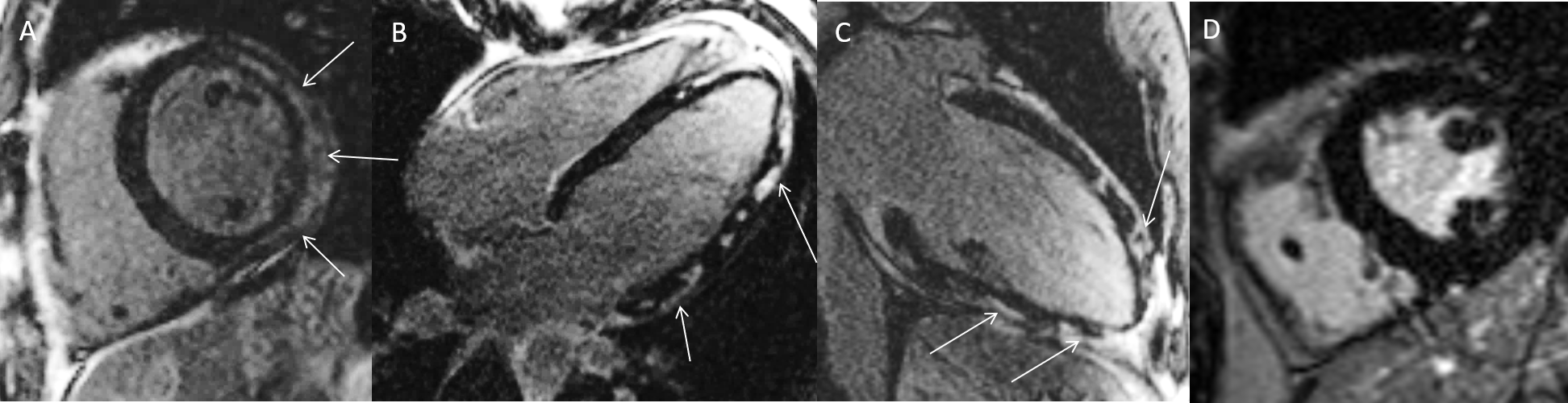
MRT Aufnahme mit Kontrastmittel
Patient mit Schmerzen in der Brust, ST-Hebungen im EKG sowie deutlich erhöhten Herzenzymen. In der Herzkatheteruntersuchung keine Engstellen. Im CMR Nachweis von mehreren hellen Arealen (Pfeile) in den Spätaufnahmen nach Kontrastmittelgabe (=Late Enhancement) passend zu einer Herzmuskelentzündung = Myokarditis (A-C).D = Gesunder Vergleichspatient (gesunder Herzmuskel stellt sich in den Spätaufnahmen dunkel dar).
MRT Aufnahme mit Mapping Verfahren
44-jährige Patientin mit stattgehabtem Infekt der oberen Atemwege und Brustschmerzen. Bei erhöhten Herzenzymen Durchführung einer Herzkatheteruntersuchung, welche keine Engstellen zeigen konnte. Im CMR kein Nachweis eines LGE (A), allerdings erhöhtes natives T1 (1180ms, Norm: <990ms) [B] sowie erhöhtes T2 (64ms, Norm: <50ms) [C] als Hinweis auf Myokarditis ohne fokale Narbenbildung. Die neueren Mapping-Verfahren erlauben den Nachweis einer diffusen Herzschädigung, wobei erhöhte T1-Werte vor allem narbige Veränderungen, und erhöhte T2-Werte akut-entzündliche Prozesse anzeigen können. Beide Prozesse können im Rahmen einer Myokarditis auftreten.

Zertifikate und Verbände

Springe zum Hauptteil