LAA-Okkluder

Interventionelle Kardiologie

LAA-Okkluder

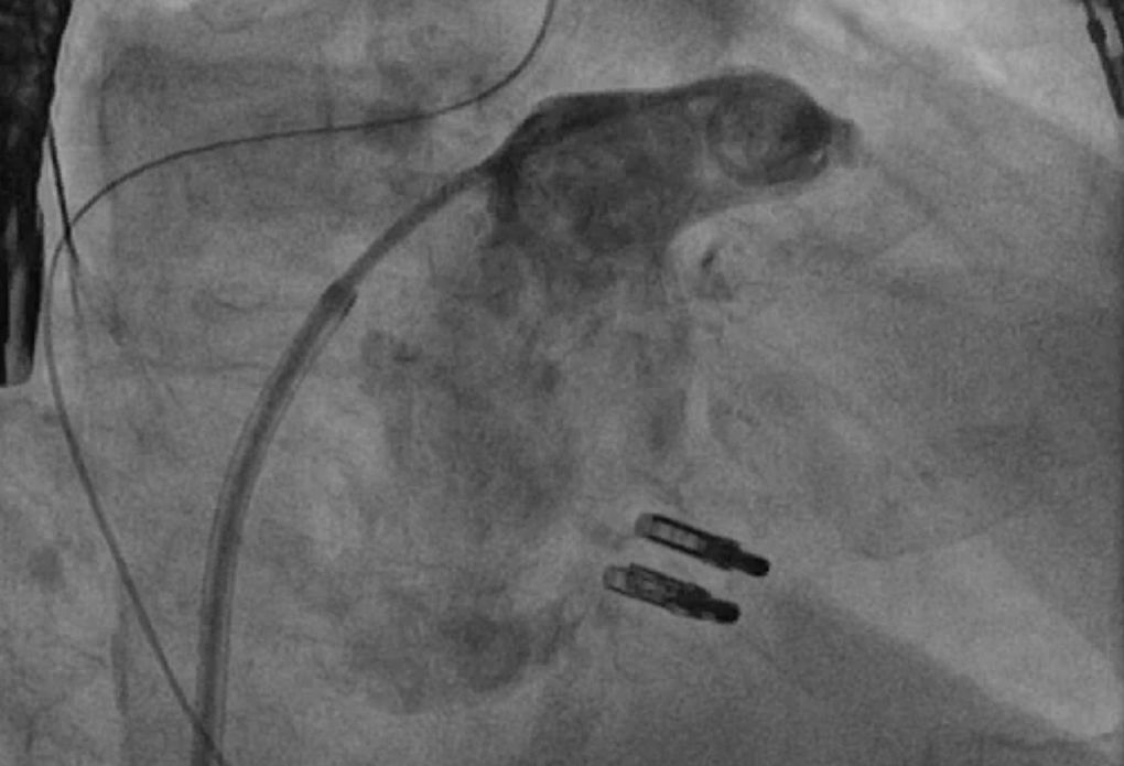
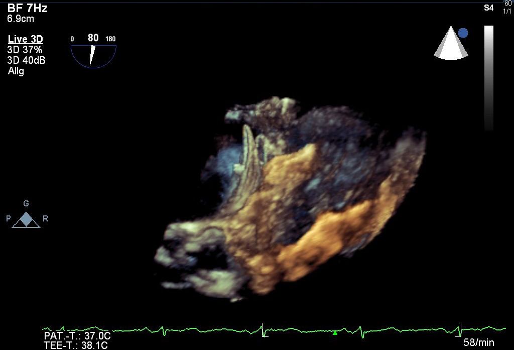
Vorhofflimmern birgt je nach individueller  Risikokonstellation eine große Gefahr für das Auftreten von Schlaganfällen. In vielen Fällen kann die Bildung kleiner Blutgerinnsel im linken Vorhofohr (LAA) nachgewiesen werden. 

Daher erhalten die Vorhofflimmerpatienten mit höherem Risikoprofil  im Sinne der Schlaganfallprävention eine dauerhafte orale Antikoagulation.

Bei Kontraindikationen für eine orale Antikoagulation, z.B. nach einer schweren Blutung,  kann das linke Vorhofohr mit einem gleichwertigen thrombembolischen Schutz vor Schlaganfällen verschlossen werden. 

In unserem Herzkatheterlabor  bieten wir die Möglichkeit das linke Vorhofohr mit verschiedenen Okkludermodellen, je nach Anatomie, erfolgreich zu verschließen.

     

      

Ansprechpartner

Prof. Dr. med. Tobias Geisler

E-Mail-Adresse: tobias.geisler@med.uni-tuebingen.de

Zertifikate und Verbände

Springe zum Hauptteil