PFO/ASD - Verschlüsse

Interventionelle Kardiologie

PFO/ASD - Verschlüsse

Die Vorhofscheidewand trennt den linken vom rechten Vorhof.  Bei etwa einem Drittel der Bevölkerung zeigt sich auch im Erwachsenenalter noch eine kleine Öffnung, das sogenannte persistierende Foramen ovale (PFO). Ein angeborener Vorhofseptumdefekt (sog. ASD) kann in selteneren Fällen ebenfalls vorliegen.  

Das  PFO ist nur behandlungsbedürftig, wenn es zu einer Verschleppung von Blutgerinnseln aus dem Venensystem in das arterielle Stromgebiet kommt und hierdurch z.B. Schlaganfälle  ausgelöst werden. Bei größeren ASDs  ist der reguläre Blutkreislauf gestört und Folgeprobleme können entstehen. 

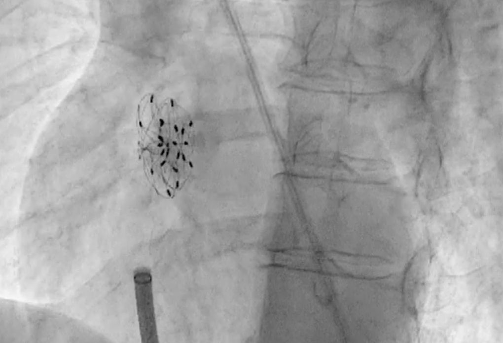
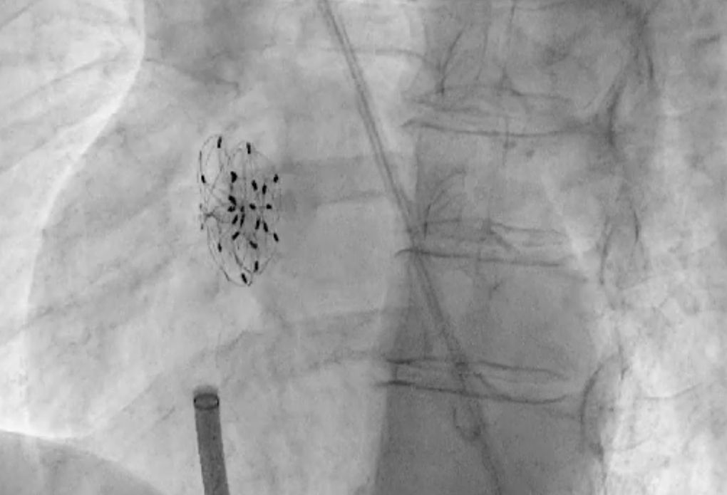
Katheterinterventionell können wir PFOs und ASDs mittels Schirmchen-Okkludern schnell und sicher verschließen.

    

    

Ansprechpartner

PD Dr. med. Michal Droppa

E-Mail-Adresse: michal.droppa@med.uni-tuebingen.de

Zertifikate und Verbände

Springe zum Hauptteil