Behçet Syndrom (Syn.: M. Adamantiades-Behçet)

Definition

Beim Behçet Syndrom handelt es sich um eine entzündlich-rheumatische Systemerkrankung aus dem Formenkreis der Vasculitiden (d.h. rheumatische Gefäßentzündungen). Die Erkrankung hat ungewöhnlich viele Ausdruckformen, zumeist finden sich charakteristische Geschwüre im Mund und an den Genitalien (Aphthen). Feingeweblich zeigt sich das Bild einer leukozytoklastischen Vasculitis. Hierbei kommt es zu einer Entzündung der kleineren Blutgefäße, bei der das Gewebe durch weiße Blutkörperchen (Leukozyten) zerstört wird. Eine der Besonderheiten dieser Vasculitis ist, dass sie sowohl Arterien als auch Venen erfasst.

Aufnahme zweier Knie, linkes Knie geschwollen
Arthritis (rechtes Kniegelenk)
Aufnahme einer Aphthe an der Zunge
Orale Aphthe (Zungenrand)
Aufnahme eines Unterarms mit Schwellung
Thrombophlebitis (rechter Unterarm)

Mögliche Symptome

  • Orale Aphthen :
    Bei oralen Aphthen handelt es sich um glatt begrenzte, zumeist querovale Geschwüre der Mundschleimhaut. Typischerweise finden sich Aphthen nicht nur im Bereich der Unterlippe, an den Wangenschleimhäuten und an der Zunge, sondern auch in den hinteren Abschnitten der Mundhöhle, sowie an Rachen und Gaumen.

  • Genitale Aphthen :
    Bei den genitalen Aphthen handelt es sich um Geschwüre der genitalen Schleimhäute. Die Geschwüre sind nicht ansteckend. Es handelt sich weder um eine Geschlechtserkrankung, noch ist eine ungenügende Hygiene dafür verantwortlich.

  • Papulopusteln :
    Hierbei handelt es sich um eitrige Bläschen an der Haut. Typischerweise sind die Bläschen steril (d.h. frei von Bakterien).

  • Erythema nodosum :
    Das Behçet‑typische Erythema nodosum ist eher klein im Durchmesser (2-4 cm) und tritt bevorzugt im Bereich der streckseitigen Unterschenkel auf. Die rötlich‑violetten, erhoben tastbaren Verhärtungen sind in der Regel deutlich (druck‑) schmerzhaft und heilen zumeist spontan nach etwa 3 Wochen aus.

  • Thrombophlebitis :
    Hierbei kommt es zu einer Entzündung oberflächig verlaufender Venen.

  • Arthralgien, Arthritis, Tenosynovitis, Enthesitis, Sacroiliitis :
    Die Gelenkbeteiligung kann ebenfalls sehr unterschiedliche Formen annehmen. Am häufigsten finden sich unspezifische Arthralgien (Gelenkschmerzen). Liegt eine Arthritis (Gelenkentzündung) vor, dann handelt es sich zumeist um eine nicht erosive (die knorpeligen und knöchernen Strukturen nicht zerstörende) Oligoarthritis (d.h. weniger als 4 Gelenke erfassend, zumeist asymmetrisch verteilt) vor. Daneben existieren aber auch Tenosynovitiden (Entzündungen der Sehnenscheiden) und Enthesitiden (Entzündungen der Sehnenansätze). Verhältnismässig selten kommt es zu einer Sacroiliitis, einer Entzündung am Kreuzbein-Darmbein-Gelenk.

  • Uveitis anterior, Uveitis posterior, Panuveitis: 
    Häufig führt erst die Augenbeteiligung (ca. 60‑80% aller Fälle sind betroffen) die Patienten dazu einen Arzt zu konsultieren. Die beklagten Symptome sind: Lichtempfindlichkeit, Augenschmerzen, Rötungen der Augen und Minderung der Sehkraft. Unterschieden wird zwischen einer Uveitis anterior (vorderen Uveitis), Uveitis posterior (hinteren U.) und Panuveitis (gesamte Uvea betroffen).
    Bei chronischen Verläufen kommt es zu Folgeschäden, wie z.B. Glaskörperblutungen, Netzhautablösungen, Sekundärglaukomen oder Neovascularisationen (unnütze Gefäßneubildungen).

Eine unbehandelte Augenbeteiligung kann bereits nach wenigen Jahren zu einer Erblindung führen! 

  • Weitere Manifestationsformen:
    Darmbeteiligung, Beteiligung des zentralen Nervensystems, sterile Nebenhodenentzündung, Vasculitis der großen Gefäße, selten: Beteiligung von Herz, Niere, peripheres Nervensystem.
Aufnahme eines Unterschenkels mit roten Hautflecken
Erythema nodosum am Unterschenkel
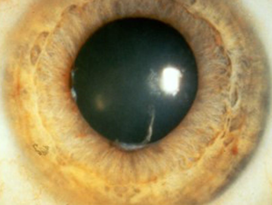
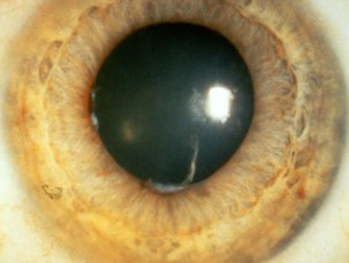
Nahmaufnahme eines Auges mit Uveitis
Uveitis anterior mit Hypopyoniritis
Aufnahme eines Oberschenkels mit roten Pusteln
Papulopusteln Oberschenkel

Epidemiologische und klinische Studien

TÜ-MAB - binger Register für Behçet Syndrom (Morbus Adamantiades-Behçet)  

Zertifikate und Verbände